Архивы за месяц Февраль, 2025

Замершая беременность на ранних сроках: причины симптомы, последствия и профилактика

Беременность прекращается, когда эмбрион перестает расти и развиваться до 28-недельного возраста. Наиболее вероятные периоды задержания плода — 3-4 недели, 8-10 недели и 16-18 недели. Эмбрион умрет, оставаясь в утробе матери. Это явление очень опасно и требует немедленной диагностики и лечения. Но чтобы это понять, необходимо знать причины и симптомы замершей беременности на ранних ее сроках. …

Облитерирующий атеросклероз ног: стадии, диагностика, профилактика и лечение

Вы — мужчина лет сорока, заядлый курильщик и пьяница с обильным и жирным ужином. С тех пор вы заметили, что ваша походка стала тяжелой и хромой. Что происходит с вами? Если вы пройдете обследование, вам поставят один из диагнозов: атеросклероз, проникающий в сосуды нижних конечностей. На протяжении многих лет он находится на вершине списка наиболее …

Прогестерон в таблетках: анализируем препараты, их показания и побочные действия

Препараты прогестерона предписаны для замены недостаточной функции яичников в акушерстве и гинекологии. Одной из самых удобных форм использования этих лекарств является планшет. Механизм действия Менструальный цикл состоит из двух фаз, отделенных друг от друга. После освобождения яйца от яичника есть желтое тело, которое активно производит прогестерон. Этот гормон работает над маточной подкладкой, заставляя ее утолщение …

Лечение атеросклероза сосудов ног

Время от времени каждый из нас ощущает легкую боль в ногах, но, как правило, не обращаем на нее внимания. И делаем это зря, потому что это может быть не усталость или обычный дискомфорт, а серьезное заболевание. Один из них — атеросклероз сосудов нижних конечностей, самая частая патология, которая развивается в зрелом возрасте — примерно 65-70 …

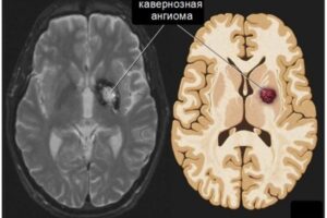
Лечение и диагностика ангиом головного мозга (кавернозная, венозная)

Заболеваемость опухолями головного мозга увеличивается с каждым годом, и этот факт настораживает врачей во многих странах. Доброкачественная опухоль, представляющая собой «клубок кровеносных сосудов», представляет собой церебральную гемангиому. Внешне данная патология напоминает бордовую или красную родинку. Образование наблюдается на слизистых оболочках и коже, при этом новорожденные составляют основную группу риска. Большинство гемангиом исчезают к десяти годам, …

Бесплодие неясного генеза – как докопаться до истины и найти причину?

Термины: идиопатическое или необъяснимое бесплодие и бесплодие неясного генеза относятся к состоянию, при котором, несмотря на всестороннее и полное обследование женщины и мужчины, причина не могла быть установлена. Условия диагностики идиопатического бесплодия Это может произойти в результате сбоя в ходе таких природных процессов, как: Движение сперматозоидов во влагалище или в цервикальной слизи. Созревание женской репродуктивной …

Норма креатинина в крови у женщин по возрасту, во время беременности: причины повышения и понижения

Эта статья расскажет вам, каков уровень креатинина в крови у женщин. Причины высокого и низкого уровня белка, как снизить высокий уровень. Креатинин в крови у женщин Креатин — это конечный продукт реакции креатинфосфата, который откладывается в мышцах для обеспечения их энергетических потребностей. Во время сокращения мышц креатинин попадает в кровоток и в составе плазмы крови …

Техника введения инсулина подкожно

Инсулин является гормоном, который необходим для разложения и переваривания глюкозы в клетках организма и тканей. Когда дефицит этого гормона происходит в организме, сахарный диабет начинает развиваться, которое обрабатывает с помощью специальных инъекций от инсулина. В противном случае, достижение положительных результатов проводимого лечения будет практически невозможно, а состояние больных сахарным диабетом будет постоянно ухудшаться. Зачем нужен …

Для чего применяют и от чего помогает Смекта: инструкция по применению для взрослых и детей, показания, противопоказания, побочные эффекты

Смекта является естественным энтеросорбент, содержащий диоксид кремния, который эффективно снимает понос. Согласно инструкции по применению, Смекта стабилизирует цитопротекторные свойства слизистой оболочки желудочно-кишечного тракта, adsorbins избыток соляной кислоты, желчных солей. Препарат нейтрализует микробов, в том числе вирусов и продуктов их переработки. Препарат в терапевтических дозах не изменяют желудочно-кишечный тракт двигателей, безразлично к рентгеновскому и не вкладке …

Послеродовые инфекции: что может омрачить первые недели материнства?

Нормальная беременность не гарантирует одинакового течения родов и послеродового периода. Эндогенная флора на фоне пониженного иммунитета может активизироваться после рождения ребенка и доставить новоиспеченной маме массу проблем. Поэтому профилактика послеродовых инфекций начинается еще на этапе планирования беременности, когда женщине предлагают лечение хронической ангины, цистита, кариеса. Однако не всегда он помогает уберечься от осложнений послеродового периода …