Архивы за месяц Март, 2025

Укус клеща: симптомы и как выглядит рана

Как выглядит рана от укуса клеща Обычно заживление происходит в первые 3-4 дня. Стоит отметить, что эти финики даются за укус незараженного насекомого. Если паразит инфицирован, время выздоровления может быть отложено. То же самое можно сказать, если он затвердел. В таких случаях процесс может занять от недели до месяца. После заживления на месте укуса не …

Как выглядят легкие при бронхите на флюорографии

Бронхит — распространенное заболевание с множеством причин, что связано с разнообразием его клинических симптомов. Часто бывает необходимо дифференцировать его от других, более серьезных заболеваний. Для этого используются рутинные методы нейровизуализационного исследования, в частности флюорография и рентгенография, а также компьютерная и магнитно-резонансная томография, бронхоскопия. Эти методы не только показывают, как выглядит бронхит, и позволяют отличить его …

Повышение температуры при бронхите у взрослых

Как инфекционное заболевание бронхит сопровождается повышением температуры тела, ознобом и головной болью в остром периоде. Температура колеблется от субфебрильной до чрезмерной, в зависимости от степени тяжести и формы заболевания. Хроническая форма протекает без симптомов лихорадки или с небольшим повышением температуры. В этой статье будут рассмотрены все случаи лихорадки при бронхите, а также какие жаропонижающие препараты …

Растяжение грудной мышцы

Растяжение грудной мышцы может быть вызвано бытовыми, спортивными и физическими причинами. Травма может возникнуть при выполнении движения, которое приводит к сильному сокращению мышечных волокон. Растягиваются все части грудной мышцы, но травма проявляется по-разному в зависимости от локализации. Причины растяжения Причины растяжения грудной мышцы связаны с физическими нагрузками. Самыми травматичными будут упражнения со штангой, которые чаще …

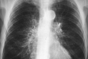
TNM классификация рака легкого

В настоящее время рак больше не приговор, современная медицина научилась с ним бороться, но еще не побеждена. Большое значение в прогнозе неопластических заболеваний имеет степень дифференцировки клеток, которая отражает злокачественность новообразования, а также степень распространения процесса. Эти критерии учитываются международной классификацией TNM G, имеющей принципиальное значение при определении тактики лечения и прогноза при заболевании. Классификация …

Особенности проведения реабилитации больных при бронхиальной астме

Процесс лечения бронхиальной астмы не приведет к полному выздоровлению, если пациент не пройдет реабилитацию. Именно они корректируют образ жизни, помогают пациенту осознать важность контроля своего здоровья и повышают приверженность к регулярному лечению. Реабилитация больных атопическим дерматитом проводится различными методами, о которых идет речь в этой статье. Общая информация Реабилитация — это комплекс мероприятий, направленных на …

Позвонки грудного отдела: компрессионный перелом и лечение

Причиной сильной боли в спине может стать перелом грудных позвонков. Эта травма диагностируется довольно редко, в отличие от травм костей в других частях тела. Это связано с тем, что позвонки при отсутствии различных заболеваний обладают большой выносливостью и легко ломаются. Причины переломов Частая причина переломов — разного рода травмы. К ним относятся: Падение с большой …

Диета при гестационном диабете у беременных

диабет Материнства (GDM) является своим родом диабета, который развивается у женщин во время беременности. В большинстве беременных женщин, недуги быстро исчезают, однако, предотвратить развитие осложнений, необходимо соблюдать определенный режим питания. Наиболее часто уровень глюкозы в крови повышен обнаружены во второй половине беременности во время теста на толерантность к глюкозе. Это исследование указываются для всех беременных …

Симптомы и лечение вирусного бронхита у взрослых

Что такое вирусный бронхит? Воспалительное заболевание бронхиальной оболочки (чаще слизистой, реже фиброзно-мышечно-хрящевой и эпителиальной), вызываемое вирусами. Этот тип бронхита чаще встречается у детей, но часто встречается у взрослых, особенно осенью и зимой. Это связано с частыми эпизодами инфекций дыхательных путей в этот период. Международная классификация болезней, 10-я редакция (МКБ-10): острый бронхит — J. Причины и …

Способы и виды профилактики рака легких

Рак легких — очень опасное, но незаразное заболевание. Есть способы предотвратить это. Некоторые меры могут быть приняты частным лицом, другие — на государственном уровне. В этой статье подробно описаны шаги по предотвращению рака легких. Можно ли заразиться Рак — это не болезнь, которой можно заразиться от больного человека. Рак вызывается мутациями или повреждением ДНК, из …