Архивы за месяц Февраль, 2025

Как правильно использовать кружку Эсмарха для очищения

Преимущество некоторых очищающих процедур в том, что их можно проводить дома. Это случай с чашей Эсмарха, которую многие люди знают уже сотни лет. Он прост в использовании и имеет множество показаний, но нельзя забывать об ограничениях и инструкциях по его применению. Что такое кружка Эсмарха и в каких случаях применяется Чашка или кружка Эсмарха — …

Печаевские таблетки в борьбе с изжогой – преимущества и недостатки

На сегодняшний день существует огромное количество средств от изжоги, как лекарственных, так и немедикаментозных. Таблетки Печаева от изжоги относятся к группе биологически активных добавок, действие которых направлено на улучшение самочувствия человека. Как действует это лекарство, чем оно отличается от лекарств и можно ли его принимать во время беременности? Таблетки Печаев относятся к группе биологически активных …

Как проявляется рак молочной железы Педжета, удаление опухоли, прогноз

В последние десятилетия рак груди стал одним из самых распространенных злокачественных новообразований у женщин. До 20% всех пациентов онкологических учреждений России поступают и проходят лечение с этим диагнозом. Ежегодно во всем мире регистрируется до 1,5 миллиона новых случаев заболевания, и ежегодно умирает до 500 000 женщин. Эти виды рака также очень опасны, потому что, в …

Какие таблетки от давления не влияют на потенцию мужчины

Проблемы со здоровьем, в том числе колебания в артериальном давлении, могут привести к расстройствам эрекции у мужчин. По этой причине пациенты предпочитают использовать таблетки артериального давления, которые не влияют на потенцию мужчин. Страдание, чтобы прыгать кровяное давление, лучше проконсультироваться с врачом, который предписывает лекарства, учитывая текущее состояние здоровья. Связь гипертонии и потенции у мужчин Связанные …

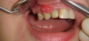
Воспалилась десна около зуба, что делать в домашних условиях

Гингивит (грипп) является распространенным заболеванием полости рта. Эта распространенная проблема может возникнуть по разным причинам. Если отек десны держится более нескольких дней, следует обратиться к стоматологу. Если по какой-то причине ваш визит к стоматологу задерживается, а опухшие десны доставляют вам дискомфорт, есть несколько вещей, которые вы можете сделать, чтобы облегчить эту проблему в домашних условиях. …

Солитер в человеке: как быстро избавиться от паразита?

Паразит — паразитический червь, основным местом обитания которого является кишечник человека. Относится к классу ленточных червей. У него есть головка с характерными крючками или присосками, с помощью которых он может прикрепляться к стенке кишечника. Его тело состоит из сегментов, которые разделяются по мере роста и выводятся с фекалиями. Червь может быть до 20 метров в …

Список аналогов Супрастина, обзор недорогих препаратов с наименьшими побочными действиями

В этой статье вы познакомитесь с аналогами супрастина, список лекарств, которые могут заменить это лекарство, механизм действия, цены и мнения о препарате. Зиртек Зиртек не только аналог второго поколения супрастина, но и общий эквивалент CetriN, потому что активный ингредиент препарата cetirized. Zyrtec доступен в виде капель, содержащих 10 мг активного ингредиента. Конкурентный антагонист гистамина предотвращает …

Преимплантационная генетическая диагностика – как увеличить шансы на успешное ЭКО?

В оплодотворении in vitro заканчивается успешной беременностью только в 40-45% случаев. Следовательно, необходимо снизить риск родов врожденным Уидами, так что долгожданная беременность не была потрачена впустую внутриматной патологией плода, которая невыносима. Для этого было разработано премплантичное генетическое диагноз. Это должно определить генетические заболевания на эмбрионе перед переездом в матку. Как наследуются генетические болезни? Не каждая …

Антибиотики, назначаемые при остром и хроническом панкреатите

В 35% случаев заболевание сопровождается возбудителями, поэтому антибиотики при панкреатите назначают при высоком риске развития гнойных осложнений вследствие активизации условно-патогенной микрофлоры. При выборе антибактериального препарата учитывают его тропность к ткани поджелудочной железы: его введение должно вызывать максимально возможную концентрацию в пораженном органе. Антибиотики при воспалении поджелудочной железы При панкреатите болезнетворные микробы распространяются: гематогенный; лимфатический; восходящий …

Сухая кожа — причина, симптомы и лечение (мази, витамины, препараты)

Часто у женщин сухая кожа на руках, что очень неприятно. Многие сравнивают его с пустыней под палящим солнцем. Этот тип кожи является наиболее распространенным, характеризуется ощущением стянутости и непривлекательным, тусклым цветом. Часто чешется. Определить, сухая у вас кожа или нет, несложно. Просто нажмите на нее пальцем. Если это сохраняется, ваша кожа сухая. Есть еще несколько …