Архивы за месяц Март, 2025

АСД 2 при сахарном диабете 2 типа

Эндокринологическая поджелудочная железа заболевания считается срок службы и неизлечимая болезнь. Тем не менее, они не пытаются использовать сахарную заместительную терапию. Что такое специальное биологическое ASD 2 стимулирующее вещество, что его воздействие на организм пациента с диабетом 2-го типа? Почему это лекарство имеет такую ​​сложную «судьба»? Как использовать его в домашних условиях правильно? Революционное изобретение и …

Симптомы и лечение лактостаза у кормящей матери

Лактостаз, или остановка (застой) оттока молока из груди, обычно возникает в первые недели грудного вскармливания новорожденного. Это патологическое состояние чаще встречается у матерей впервые. Заболевание обычно возникает в период между первыми тремя днями и шестью неделями кормления грудью. Последствия лактостаза — размножение микробов в отличной питательной среде, проникших через треснувший сосок в железу и образование …

Почему повышается эхогенность в поджелудочной железе?

Повышенная эхогенность поджелудочной железы, что это такое и на что указывает, — это первые два вопроса, которые возникают в сознании пациентов, которые получают это описание ультразвукового исследования. Так что же делать в этом случае? Во-первых, не паникуйте и найдите собственные способы избавиться от этого диагноза. В такой ситуации необходимо направить данное заключение на консультацию к …

Психологическое бесплодие: как избавиться от навязчивых страхов и чрезмерного желания забеременеть?

Несмотря на достижения современной медицины, проблемы бесплодия не теряют своей актуальности. По статистике почти четверть пар имеют проблемы с естественным зачатием. Во время лечения репродуктологи, гинекологи и андрологи сосредотачиваются на поиске и исправлении анатомических, эндокринных и иммунологических причин бесплодия. Но, к сожалению, даже с помощью сложных многоступенчатых схем лечения, хирургии и вспомогательных репродуктивных технологий не …

Шиповник: лечебные свойства, противопоказания, как принимать

Из этой статьи вы узнаете, чем полезны плоды шиповника и чем они помогают, каковы противопоказания, как их использовать, а также каковы преимущества и вред от использования этого продукта. Общие сведения Плоды шиповника относятся к семейству розовых, и знаменитый терновник — одна из его разновидностей. Это поливитаминное полезное растение, сок которого в Древней Греции считался каплей …

Ушиб копчика — симптомы и лечение

Копчик — это нижняя часть позвоночника, входящая в крестцово-крестцовый переход. Копчик, хотя и рудиментарный орган, является важным функциональным элементом. К нему прикрепляются пучки средней ягодичной мышцы, связки и мышечные волокна органов малого таза. Он принимает участие в передаче нагрузок на кости таза и считается основной точкой опоры. Травма в результате падения копчика является распространенной и …

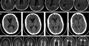
Что означают глиозные изменения головного мозга и сколько живут с заболеванием?

В этой статье вы узнаете о глиозе мозга и его разновидностях, механизме и причинах развития, симптомах, диагностике, лечении патологии, профилактике и прогнозе. Глиоз головного мозга — это проявление одного из заболеваний центральной нервной системы, которое невозможно вылечить, поскольку замена нервных клеток на клетки-помощники необратима. Однако можно остановить прогрессирование или предотвратить развитие патологического процесса. Механизм развития …

Считать ли инсульт смертельным для жизни

Инсульт, смертельное заболевание, занимает второе место после сердечно-сосудистых заболеваний по уровню смертности. В 2012 году Всемирная организация здравоохранения опубликовала печальную статистику — за этот период от инсульта умерло около 6,7 миллиона человек. Медицинские работники все чаще сталкиваются со случаями инсульта в раннем возрасте и даже в детстве. Инсульт — одно из самых смертельных заболеваний Помимо …

Эндометриома – как следствие эндометриоза и причина бесплодия

Гудоминовые женские половые заболевания становятся частой причиной бесплодия. Следовательно, их диагностика и последующее лечение становится надеждой на поддержание репродуктивных функций. Терапевтические агенты зависят от формы патологии и тяжести его серьезности. Когда яичники поражены, часто появляется эндометриома. Это доброкачественное гормональное создание, которое представлено эндометрическими клетками, расположенными в необычном месте — в тканях яичников, яйцеклеток. Особенности патологии …

Кровотечение на ранних и поздних сроках – возможно ли сохранить беременность?

Кровотечение — одно из частых осложнений беременности. У большинства будущих мам кровотечение вызывает страх, а иногда и настоящую панику. На самом деле даже небольшое количество выделений может указывать на угрозу развитию и поведению плода. Однако это состояние не всегда указывает на риск выкидыша. Характер кровотечения может быть разным. Одни — слабый мазок без боли, другие …