Рубрика «Заболевания и лечение»

Растяжение пальцев руки

Скручивание пальцев руки — довольно частая травма, которая характеризуется механическим повреждением или разрывом соединительной ткани, окружающей один или несколько суставов. Растяжение пальцев руки: причины и признаки Связки — это гибкие связи между костями, которые удерживают суставы в правильном положении. Растяжение связок пальца руки может происходить в результате повышенной нагрузки на связки. Этот тип травмы обычно …

Тяжелая форма пневмонии у взрослых

Заболеваемость тяжелой пневмонией и смертность от нее резко возросли за последние несколько десятилетий. Риску подвержены как молодые люди с ослабленным иммунитетом, так и пожилые пациенты старше 60 лет с респираторными заболеваниями. Увеличение заболеваемости связано с устойчивостью некоторых бактерий к большинству известных терапевтических агентов (антибиотиков). Поэтому при диагностировании тяжелой формы пневмонии рекомендуется немедленная госпитализация пациента для …

Медикаментозное лечение бронхита у взрослых

Медикаментозное лечение бронхита заключается в приеме нескольких групп фармакологических препаратов. Их действие направлено на подавление воспаления, размножение возбудителей инфекций, продуктивный кашель и его последующее прекращение, а также на снятие интоксикации и снятие температуры. Для достижения этих целей используются препараты в виде инъекций, ингаляций, капель, таблеток, суспензий, мазей и суппозиториев. Способ введения лекарства в первую очередь …

Ожог горячий растительным маслом

Ожоги горячим маслом — это серьезные травмы, которые могут нанести серьезный вред пострадавшему. Температура кипения растительных масел достигает 200 ° C, что вдвое выше температуры кипения воды. Эти травмы классифицируются как термические ожоги, и при оказании первой помощи следует учитывать высокое тепловыделение растительного масла и его концентрацию в зоне поражения. При контакте с кожей горячее …

Все о туберкулезе легких у взрослых

Туберкулез — инфекционное заболевание, которое может поражать все ткани и приводить к тяжелым осложнениям и смерти. В обществе широко распространено мнение о том, что туберкулез — удел социально незащищенных людей или заключенных. Фактически, каждый подвержен риску заразиться туберкулезом, а отсутствие бдительности приводит к тому, что люди слишком рано обращаются за помощью и слишком поздно начинают …

Почему появляется жидкость в легких при раке

Отек легких и гидроторакс — частые осложнения рака легких. Эти состояния необходимо отличать друг от друга, чтобы правильно назначить лечение. В статье описаны основные симптомы отека и гидроторакса, а также методы диагностики. Отеки при онкологии Отек — это осложнение запущенного рака легких. Причины их образования: Плевральные метастазы с повышенной проницаемостью капилляров. Поражение регионарных лимфатических узлов …

Рецидивирующий бронхит: что делать, если у ребенка частые повторения болезни

Рецидивирующий бронхит — форма острого необструктивного бронхита, эпизоды которого повторяются 2-3 раза в течение 1-2 лет, чаще на фоне ОРВИ. Средняя продолжительность периода болезни — 2-3 недели. Заболевание чаще всего возникает у детей в возрасте от 3 до 5 лет, связано с высокой частотой острых респираторных вирусных инфекций в этом возрастном периоде. Что делать, если …

Рассасывающая терапия при пневмонии у взрослых

Физиотерапия при лечении пневмонии — это методика, в которой используются природные и природные факторы окружающей среды. Эффективность этой методики давно доказана на практике. Способствует уменьшению отечности, успокаивает воспалительные процессы, положительно влияет на иммунную систему пациента, восстанавливает дыхательные функции. Приступать к физиотерапевтическим процедурам можно только после стихания острой фазы болезни. Именно в это время этот метод …

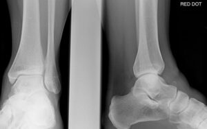
Перелом таранной кости

При разрыве слоевища пациент испытывает сильную боль и дискомфорт. Это серьезная травма, требующая правильного лечения и своевременной медицинской помощи. Высокая кость расположена между пяточной, большеберцовой и малоберцовой костями. Он небольшой по размеру, но выполняет важную функцию. К пластине не прикреплены мышцы. Анатомия таранной кости и локализация Талус редко получает травмы. Он несет на себе весь …

Что такое бронхиальная астма смешанной формы

Бронхиальная астма — хроническое воспалительное заболевание дыхательных путей, основными клиническими симптомами которого являются приступы одышки и кашля. Выделяют экзогенные, эндогенные и смешанные формы заболевания. В данной статье подробно рассматривается бронхиальная астма (БА) смешанного генеза. Что это такое и какой код по МКБ-10 Смешанная бронхиальная астма — это форма заболевания, в которой играют роль как эндогенные, …