Архивы за месяц Февраль, 2025

Течение и развитие бронхита у взрослых

Бронхит — очень распространенное респираторное заболевание. Встречается повсеместно, во всех климатических зонах и во всех возрастных группах населения. Острый бронхит часто связан с другими респираторными заболеваниями. Хроническая форма более характерна для взрослых, и течение такого бронхита неблагоприятно. В связи с распространенностью заболевания патогенез бронхита хорошо изучен. В статье пойдет речь об стадиях заболевания и его …

Особенности соблюдения диеты при бронхите

Лечение бронхита включает не только медикаментозную терапию и физиотерапевтические процедуры. Соблюдение санитарно-гигиенических требований, повседневная деятельность и полноценный сон важны для быстрого и полного выздоровления. Правильное питание и пищевые привычки помогают организму быстро восстановиться после болезни. Прочтите эту статью, чтобы узнать все подробности о вашем режиме, питании и гигиене при бронхите. Режимные мероприятия В большинстве случаев …

Ожог от сигареты

Ожоги сигаретами могут быть вызваны банальным пренебрежением, а последствия контакта окурков с кожей могут быть непредвиденными. Несмотря на то, что пораженный участок небольшой, тепловая рана может быть очень глубокой и вызывать осложнения. Степени ожога после сигареты Когда сигарета тлеет, ее кончик нагревается до 300 0 C, а во время курения температура может подниматься до 1000 …

Методы токолитической терапии для сохранения беременности на ранних и поздних сроках

Около одной трети беременностей заканчивается ранним выкидышем или преждевременными родами. Наиболее опасен первый триместр, когда очень высок риск самопроизвольного прерывания беременности. При первых признаках угрозы прерывания беременности вы обычно слышите совет врача «перейти на поддерживающую терапию». Другими словами, будущей маме на ранних сроках беременности требуется консервативная терапия. Второй и третий триместры беременности менее опасны, но …

Особенности лапароскопии яичников при различных патологиях

В настоящее время хирургические вмешательства в гинекологии по возможности проводятся лапароскопически. Этот метод, появившийся в начале 20 века, долгое время использовался только в диагностических целях. Он отличался высокой точностью и информативностью: что может быть лучше визуального осмотра полости таза и ее органов? Однако преимуществом лапароскопии является низкая травматичность — для процедуры требуется всего несколько небольших …

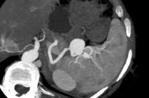
Что такое аневризма селезеночной артерии

Селезенка выполняет в организме кроветворную, иммунную и фильтрационную функции. Это также связано с обменом веществ. Селезеночная артерия — это сосуд в брюшной полости, который снабжает кровью селезенку, поджелудочную железу и печень. Аневризма селезенки (ААС) — это патология, которая выражается в деформации (выпуклости) стенок артерии в результате их истончения и растяжения, создавая в них полости, заполненные …

Нормы холестерина в анализе крови

Холестерин — это не что иное, как жир, участвующий в построении клеток, определенные гормоны и желчные кислоты. Легенда о его страшном вреде для организма далека от истины. Это вещество не только негативно действует на сосуды, как без устали говорят люди. Без него невозможно нормальное функционирование организма в целом. Это также миф, что повышение уровня холестерина …

Макросомия плода: крупный ребенок – крупные проблемы

Термин «макросомия плода» используется для описания избыточного веса новорожденного при рождении. Этот диагноз можно поставить с уверенностью, только измерив вес ребенка при рождении. Макросомия — это состояние, при котором новорожденный весит более 4000 г. Около 7% младенцев имеют вес при рождении более 4 кг, 1% — более 4,5 кг и 0,1% — более 5 кг …

Фиброаденома молочной железы: каковы причины появления, удалять или нет?

Все женщины слышали о таких заболеваниях, как мастопатия, рак груди и доброкачественные образования груди. Сегодня мы поговорим о том, что такое фиброма груди. Этот термин происходит от трех слов, обозначающих клетчатку, железу и опухоль. Фиброаденома может развиться в любой железе, в том числе в груди. Это довольно распространенное доброкачественное новообразование. Он начинает распознаваться у девочек-подростков, …

Зачем и когда назначается коагулограмма при беременности

Многие беременные не знают, что такое коагулограмма (или гемостазиограмма), и отказываются проводить столь важное обследование. Это всего лишь обычный тест на свертываемость крови. Периодическое выполнение этого анализа позволяет своевременно выявить проблемы со здоровьем, начать лечение патологии на этапе, когда лечебные мероприятия наиболее эффективны. Что это за анализ Одним из важнейших показателей здоровья человека является состояние …