
Селезенка выполняет в организме кроветворную, иммунную и фильтрационную функции. Это также связано с обменом веществ. Селезеночная артерия — это сосуд в брюшной полости, который снабжает кровью селезенку, поджелудочную железу и печень.
Аневризма селезенки (ААС) — это патология, которая выражается в деформации (выпуклости) стенок артерии в результате их истончения и растяжения, создавая в них полости, заполненные кровью.
Это заболевание — один из самых распространенных видов патологии сердечно-сосудистой системы.
Причины аневризмы, группы риска
Чаще всего этот вид аневризмы возникает у женщин и пожилых людей из-за развития атеросклероза. АСК гораздо реже диагностируется у мужчин. Также бывает, что развитию этого заболевания подвержены не только люди старшего возраста, но и молодые люди.
Причиной недугов в этом случае могут быть:
- повышенное давление в печеночных венах или селезенке;
- повреждение внутренних стенок артерии;
- У женщин причиной может быть многоплодная беременность.
Основные признаки АСА
Часто пациенты не проявляют никаких симптомов, а само заболевание часто диагностируется при обследовании других органов брюшной полости. Из-за отсутствия признаков заболевания понять, что у человека аневризма селезеночной артерии, крайне сложно.

Поскольку лечение этого заболевания на ранних стадиях дает максимальный положительный эффект, рекомендуется регулярно проводить полное обследование тела.
Чтобы обнаружить аневризму селезеночной артерии, обратите внимание на следующие симптомы:
- длительная тупая боль в левом подреберье;
- Неприятные, болезненные ощущения при пальпации в области поражения.
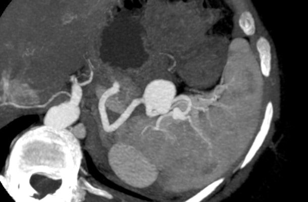
Аневризмы можно обнаружить по-разному. Основные методы: рентген, УЗИ, МРТ, компьютерная томография.
Радиологическое обследование считается приоритетным методом диагностики, так как с его помощью можно наиболее точно определить размер аневризмы и ее расположение.
Каковы риски осложнения болезни?
Основной риск этого заболевания — риск разрыва селезеночной артерии. Это может привести к летальному исходу. Различают два типа перелома: неполный и полный:
В первом случае деформированная стенка больного сосуда не полностью повреждена, что может привести к образованию гематомы в его влагалище. Все сопровождается острыми болями и сильной анемией.
Во втором случае после разрыва аневризмы образуется забрюшинная гематома и кровотечение временно прекращается. Затем появляются сильные боли в левой части живота, позже они переходят в опоясывающий. У больного падение артериального давления, прогрессирующая анемия. Далее следует вторая стадия разрыва, которая характеризуется появлением синяка в области живота.

Часто разрыв может произойти в свободной брюшной полости. При этом у пациента появились сильные боли в животе, тошнота, бледность кожи, холодный пот, анемия и тахикардия.
Также возможен разрыв аневризмы при попадании содержимого в органы ЖКТ. В любом случае желательно срочно обследовать пациента с помощью УЗИ, МРТ, КТ.
Лечение заболевания
Своевременно диагностированное и правильно вылеченное заболевание позволит избежать наихудшего развития событий. В настоящее время специалисты предпочитают использовать фармакологическую терапию, но хирургическое вмешательство становится все более эффективным методом.
Хирургическое вмешательство может быть назначено по разным причинам, основными из которых являются:
- разрыв аневризмы;
- быстрое прогрессирование болезни;
- врожденная патология;
- Большие размеры аневризмы;
- АСК у беременных.
Если в операции нет необходимости, пациенту рекомендуются регулярные осмотры у лечащего врача для наблюдения за прогрессированием заболевания и предотвращения негативных последствий.
Ложная аневризма селезеночной артерии
Помимо истинной аневризмы селезеночной артерии, специалисты выделяют ложную АСК. Этот вид заболевания встречается редко, но считается довольно опасным.
Ложная аневризма может возникнуть в результате травмы стенки сосуда и образования гематомы или в результате воздействия на артерию ферментов из близлежащей поджелудочной железы.
Его можно обнаружить, когда у пациента наблюдается необъяснимое кровотечение из верхних отделов желудочно-кишечного тракта. Главный симптом псевдоаневризмы пациента — появление шума.Он увеличивается при пульсации и отчетливо ощущается при прослушивании звуков внутренних органов.
Прогноз заболевания
Если операция прошла успешно, прогноз часто благоприятный.Однако, если операция не проводится под давлением врача, последствия могут быть ужасными.

Аневризма может разорваться в любой момент и привести к смерти пациента.Поэтому рекомендуется проводить регулярные осмотры у специалистов, чтобы отслеживать все негативные изменения в организме.
Людям с этим заболеванием также рекомендуется:
- Соблюдайте правила правильного питания;
- контролировать уровень холестерина;
- Бросить курить и употреблять алкоголь;
- Регулярно измеряйте артериальное давление.
К лечению народными методами прибегать не стоит, так как они практически всегда малоэффективны и опасны.