Архивы за месяц Февраль, 2025

Хирургический аборт: о чем нужно знать, решаясь на этот шаг

Изредка возникают ситуации, когда беременность нежелательна. В этом случае необходимо решиться на аборт. Хирургический аборт — это искусственное прерывание беременности, производимое путем удаления стенок матки. Процедуру можно проводить в первые 12 недель беременности. В исключительных случаях (по медицинским показаниям или после изнасилования) допускается прерывание беременности до 22 недели. Медикаментозный аборт до 8 недель — наименее …

Что такое флотирующий тромб

Такие термины, как «тромб», «тромбоз», «флотирующий тромб» в наши дни стали довольно распространенными. Люди молодого, среднего и пожилого возраста сталкиваются с сердечно-сосудистыми заболеваниями, не зная, насколько опасным может быть тромб и насколько серьезными могут быть последствия заболевания. Виды тромбов Тромбы классифицируют по типам по различным критериям: По скорости формирования. По размеру. По локализации патологического сгустка. …

Симптомы предынсультного состояния и меры помощи

Инсульту могут предшествовать факторы-предшественники. Сочетание этих факторов называется «предударным состоянием». Обычно это происходит перед ишемическим инсультом, который развивается в течение нескольких часов (от 2 до 5). В это время могут наблюдаться обратимые симптомы церебральной ишемии, возникающие в результате сужения сосудов. При организованной помощи симптомы надвигающегося инсульта могут измениться. Вот почему так важно вовремя их распознать. …

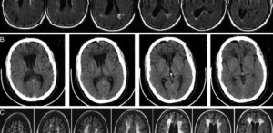
Что такое глиоз головного мозга

Гризмент мозга является вторичным заболеванием, следствием любой из расстройств центральной нервной системы. Ее лечение сложно, и правильно невозможно, потому что замена нервных клеток вспомогательными клетками необратимы. Тем не менее, вы можете остановить перезарядку такой массы или помешать ему. Клиническая картина Центральная нервная система состоит из трех типов клеток: Нейроны — функциональные клетки, которые передают сигналы; …

Как распознать бытовой сифилис (первые признаки, дальнейшие симптомы) и как его лечить?

Сифилис — социально значимая хроническая инфекция, относящаяся к группе преимущественно венерических заболеваний. Он характеризуется длительным течением, повреждением органов и систем и может вызвать специфические необратимые повреждения головного, спинного мозга и внутренних органов, что может привести к инвалидности и смерти. Единственная разница между домашним и половым сифилисом — это способ его передачи. Согласно официальной государственной статистике, …

Почему немеют пальцы на руках: причины, диагностика и лечение

Тошнота в пальцах — проблема, известная многим. Обычно он становится тревожным только тогда, когда дискомфорт становится почти постоянным и может сопровождаться болью. Чаще всего мы впервые замечаем онемение, когда просыпаемся утром или ночью, и изначально не обращаем на это внимания, потому что причиной может быть неудобное положение. Если онемение пальцев рук становится регулярным, стоит поспешить …

Аплазия матки, её шейки, влагалища: как распознать порок развития, и всегда ли второй диагноз – бесплодие?

Основные причины, по которым женщина не может забеременеть, — это заболевания маточных труб и гормональные нарушения. Но одна из 4-5000 имеет другую причину: у нее не появилась матка в утробе. То же самое встречается у каждой пятой девочки в возрасте 15–16 лет, у которой не было ни одного периода. Научное название болезни — аплазия матки. …

Рак головки поджелудочной железы

Несмотря на успехи современной медицины, рак все чаще и чаще, и эффективный метод лечения пока не найдено. Смертность некоторых сортов составляет около 90%, даже когда все существующие терапевтические методы. Панкреатический рак головы является одним из тех агрессивных злокачественных патологий. Частности, расположение органов роста и быстрых опухоли делают его одним из наиболее нежелательных форм заболевания, занимая …

Почему бывают маточные кровотечения у женщин, и как их остановить?

Маточное кровотечение всегда представляет серьезную угрозу для женщины и может привести к летальному исходу. По этой причине игнорировать данный симптом не следует, а при подозрении на патологию необходимо незамедлительно принять меры. Какие виды маточных кровотечений выделяют врачи? Каковы их симптомы? Можно ли самостоятельно остановить кровопотерю в домашних условиях? Об этом мы и поговорим. Какие виды …

Пониженные базофилы в анализе крови

Если базофилы уменьшены, значит, в организме человека развиваются патологические процессы. Следует принять меры по стабилизации их уровня. Нарушения концентрации клеток возникают в результате беременности или овуляции. А также на фоне острых инфекционных заболеваний или после стрессовых ситуаций. Уменьшение количества базофилов в крови у взрослых наблюдается в результате патологических процессов при пневмонии или при применении некоторых …