
Гризмент мозга является вторичным заболеванием, следствием любой из расстройств центральной нервной системы. Ее лечение сложно, и правильно невозможно, потому что замена нервных клеток вспомогательными клетками необратимы. Тем не менее, вы можете остановить перезарядку такой массы или помешать ему.
Клиническая картина
Центральная нервная система состоит из трех типов клеток:
- Нейроны — функциональные клетки, которые передают сигналы;
- EPENDYMY — клеточные клетки для мозговой камеры также образуют центральный канал спинного мозга;
- Neurglej — это вспомогательные клетки, которые выполняют метаболические процессы: трофические, поддерживающие, секреторные и другие функции. Невроглился в 10-15 раз меньше нейронов, их число 10-50 раз превышает количество нервных клеток, составляют около 40% по весу.
После повреждения функциональной нервной ткани, место мертвых нейронов — ospoink, они занимают нейроглию. Такая замена обеспечивает метаболические процессы даже в случае смерти нервных клеток. Глейки образуют своеобразную рубцевую ткань.
Их внешность явно вторичная, потому что смерть клетки уже произошла, камин Глелеза указывает только на место изменения. Нет лечения.

Сам процесс заполнения GLYLE не может быть вызван разрушительным, независимо от того, какие его причины. Вспышки повреждений нейрона по сути, белые не могут оставаться непорочными, потому что тогда процесс метаболизма в мозге нарушен.
Глей, заполняя это пространство, обеспечивает ход нормальных метаболических процессов, но эти клетки не могут выполнять нейроратурные функции.
Разновидности глиоза
Вспышки повреждения нейронов приводят к ухудшению функциональности центральной нервной системы. Для них нет возможности лечения, потому что она не может быть восстановлена мертвой тканью нейрональных нейронов. Также неприемлемо удалить ядро сбора водорослей, потому что они выполняют заменительные функции.
Как правило, изменение имеет определенное местоположение местоположения — NIDUS, хотя и не всегда.
Из-за участка концентрации и формы изменения мозговой скважины можно разделить на следующие группы:
- Анноморфная фигура — сотовая структура GLIA преобладает над волокнистыми. Это заросли.
- Волокнистая фигура — волокнистая структура, признаки господства доминируют.
- Пролитая — нет изменений изменений, изменения ткани наблюдаются не только в мозге, но и в спинном мозге. Это изображение характерно для распределенных патологических заболеваний, таких как ишемия головного мозга. Лечение, конечно, необходимо начать с устранения основных заболеваний.
- Фокусное расстояние — имеет четко ограниченную область — камин. Обычно оказывается, что это результат воспалительного процесса, который привел к смерти нейронов. Здесь лечение бесполезно.
- Изменения смелых — фокус в основном расположены на поверхности мозга, под мембраной
- Перинакуляр — Глия окружает закаленные кровеносные сосуды. Эти изменения часто наблюдаются в воспалении системных сосудов. Для предотвращения развития заболевания необходимо сначала лечить склероз.
- Сучетенендимамальные — изменения костра расположены в сумеретой — мозговой камере.
Размер Глееоза является физическим и рассчитанным. Он равен увеличению количества катушек в отношении количества нормально действующих нейронов в единице объема. Чем больше изменение и менее локализованные, тем более нарушены. Функционирование ОУН.
Симптомы заболевания
Глеброз мозгов, не являясь отдельным заболеванием, нет характерных симптомов. Все расстройства, связанные с аномалиями в АУН, являются неразлучным элементом многих других заболеваний.
Более того, если глиоз не связан с неврологическими заболеваниями, такими как рассеянный склероз, нет симптомов. Он диагностируется случайно, наряду с основным заболеванием.
Причины болезней могут быть разными, но проявления, если вообще, более или менее то же самое:
- Стойкие головные боли, лечение стандартными световыми препаратами сокращений не приносят эффект;
- Флуктуации артериального давления не специфичны;
- Непрерывное головокружение, общая слабость или чрезмерная усталость. Причины этого состояния могут быть разными, но на фоне ухудшения памяти должны быть причиной беспокойства;
- Нарушенная координация движений. Причина симптома связана с заменой через глию поврежденной нервной ткани и, таким образом, слабая передача сигналов;
- Ухудшение памяти, четкое ослабление гимнастических функций. Причина такая же — без функциональной нервной ткани. Лечение в этом случае бесполезно.
Иногда заболевание вызывает судороги. Как правило, причиной является большой нидус.
В противном случае проявление болезни у маленьких детей. Вызвать замену нервной ткани груди, связанной с любым врожденным врожденным. Это означает, что в результате заболевания сначала умирают нервные клетки, а затем область, касающаяся заболевания, заполнена глиасом.

Например, болезнь Тай-Сачса, эффект которого является развитием скважины, выявляет в 4-5 месяцев жизни ребенка. Симптомы указывают на неровности в АУН: регресс физического и психического развития, слуха и потери глаз, охлаждение в глотании, судороги. Прогноз в этом случае очень пессимистично, и неоднозначное лечение.
Этот тип врожденной патологии связан с расстройствами жирового метаболизма. Их можно обнаружить, анализируя амниотическую жидкость в 18-20 неделе беременности. Если это расстройство обнаружено в плод, рекомендуется прерывать вашу беременность. Лечение невозможно.
Причины заболевания
Причины вызова, или, скорее первичное заболевание, которое привело к изменениям в мозговом веществе, заключается в следующем:
- рассеянный склероз;
- туберкулез;
- энцефалит;
- Нерегужные заболевания;
- Удерживаемый жир метаболизм;
- Инфекционные заболевания, характеризующиеся возникновением воспаления;
- Травмы мозга мозга.
Важно отличить лечение заболеваний от предотвращения их. Восстановить мертвую нервную ткань, конечно, не может быть, но важно предотвратить дальнейшее распространение образования и, следовательно, лечение заболевания.
Диагностика и лечение

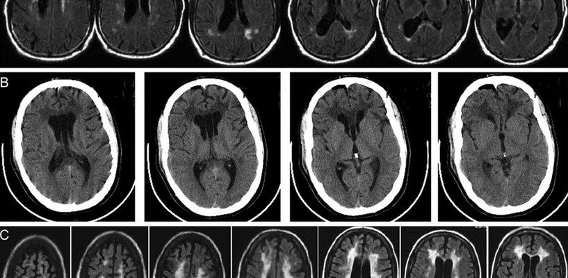
Только магнитный резонанс может диагностировать расстройства с достаточной точностью.
Этот метод позволяет четко определять объем изменения и его местоположения и, таким образом, объяснить или определить фактическую причину изменений, поскольку местоположение пожара, в отличие от симптомов, является специфическим.
Необходимо лечить первичные заболевания. Лечение Глееоза состоит только для профилактики патологического распространения заболевания.
- Для этого необходимо соблюдать определенные рекомендации.
- Избегая жирных блюд. Патологическое распространение глероза связано с расстройствами жирового метаболизма. Даже если нет наследственной болезни, но гелоз Глееоза уже произошел, чрезмерное потребление жира будет способствовать пролиферации дисфункциональных клеток. Недопустимо отклонить продукцию Full-Fat, но их количество должно быть минимально.
- Здоровый образ жизни — простая диета и режим физической активности могут предотвратить большинство расстройств в ун и изменениях метаболических процессов.
- Регулярные исследования снижают риск заболеваний, которые провоцируют глеюз.
Замена мертвых нервных клеток через GLIA — это совершенно естественный процесс, который обеспечивает дальнейшую работу мозга в случае бессмертного повреждения. Тем не менее, появление фокуса глеоза указывает на другие заболевания, которые угрожают центральной нервной системе.