Архивы за месяц Март, 2025

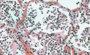
Хроническая (скрытая, вялотекущая) пневмония без симптомов

Хроническая пневмония или латентная, спящая, бессимптомная и летаргическая пневмония — это воспалительный процесс в легких, который прогрессирует в течение длительного периода времени. Хроническая пневмония может иметь незаметную клиническую картину, а в некоторых случаях может вообще не проявлять никаких симптомов. Хроническая пневмония как нозологическая единица не включена в список МКБ-10, поэтому не имеет собственного кода. Статистика …

Что делать, если поднялась температура или появилась аллергия после Манту

Туберкулиновая проба — иммунологический тест, который используется для скрининговой диагностики туберкулеза у детей. Опасна ли проба Манту? Это зависит от нескольких факторов, в том числе от индивидуальных особенностей детского организма, наличия противопоказаний и соблюдения правил внутрикожного введения туберкулина. Чем опасна проба Манту? Проба Манту — это не вакцина, как ошибочно полагают многие родители. Это иммуноферментный …

Что такое синдром ранней реполяризации желудочков и какой прогноз

Синдром ранней реполяризации желудочков (VRS) — это тип нормокалиемии, при которой обнаруживаются только изменения ЭКГ без характерных внешних симптомов. Общая информация Большинство аномалий сердечно-сосудистой системы так или иначе влияют на картину ЭКГ. Основными регистрируемыми отклонениями являются различные виды аритмий, связанные с течением основного заболевания. Однако по самому фото, за исключением самых ярких случаев, определить характер …

Прополисные свечи от геморроя: названия препаратов, рецепты самостоятельного изготовления

Прополис эффективно подавляет воспаление, борется с патогенной микрофлорой и снимает боль. Лекарственные растения, в составе которых есть свечи, способствуют укреплению стенок сосудов, останавливают ректальное кровотечение и повышают местный иммунитет. Облепиховое масло активизирует регенеративные способности организма, ускоряя процесс заживления. Польза прополиса при ректальном использовании Эти свечи с прополисом для лечения геморроя применяют один раз в день …

Иноферт при планировании беременности и перед ЭКО: как принимать, и помогает ли

Витаминный комплекс важен для любой женщины, которая планирует беременность и не может забеременеть сама. Самое главное в этом отношении — установить причину и только потом повышать рецепт Иноферта. Это может показаться странным, но в инструкции, прилагаемой к препарату, нет ничего о противопоказаниях и побочных эффектах. Однако это не освобождает женщину от ответственности и необходимости заранее …

Формы инфильтративного рака молочной железы, степень агрессивности заболевания и прогноз

Инфильтративная форма рака груди — это злокачественное новообразование, которое развивается из атипичных эпителиальных клеток протоков и / или дольчатой ​​ткани. Злокачественные клетки довольно быстро распространяются на соседние ткани, а с током лимфы и крови — на лимфатические узлы и различные органы. Этот вид опухоли — одна из самых неблагоприятных с точки зрения метастазирования и агрессивности …

К какому врачу обращаться если у человека высокое давление, кто лечит

Сердечно-сосудистые заболевания встречаются не только у пожилых, но и у молодых людей. Повышенное артериальное давление — распространенное заболевание, доставляющее человеку немало хлопот. При появлении симптомов повышенного давления возникает вопрос, к какому врачу обратиться. Гипотония и гипертония требуют немедленного лечения, а профилактика этих заболеваний часто бывает пожизненной после постановки диагноза. В зависимости от причины скачков давления …

Понижает ли давление препарат Афобазол или повышает, как принимать?

Апхобазол снижает кровяное давление, если он увеличился после нервной перегрузки. Во время стресса в организме человека синтезировано адреналин. Его производство провоцирует сокращение кровеносных сосудов, что приводит к ускорению сердечного ритма, развития тахикардии и повышения кровяного давления. Непрерывный стресс вызывает сужение кровеносных сосудов, что приводит к избыточному давлению. Удовлетворяя агентов, к которым принадлежит Afbazol, помощь в …

Что такое бартолинит, как его лечить и возможно ли от него избавиться в домашних условиях?

Бартолинит — женское воспаление бартолиновой железы (большие вагинальные железы в передней части грудной клетки). Это заболевание считается одним из заразных и дискомфортных заболеваний слабой половины человечества. Однозначно диагностику и последующее лечение должен проводить гинеколог. Выделяют две стадии заболевания: Насморк — воспаление без гнойного отделяемого; Парный абсцесс железы — развитие гнойного воспаления. Причины и симптомы возникновения …

Как делать спринцевание хлоргексидином в домашних условиях?

На сегодняшний день самым универсальным и доступным антисептиком в виде раствора врачи называют его хлоргексидин. Недорогое по цене и обладая массой положительных качеств бактериального препарата, при всей простоте его упаковки считается мощным и эффективным препаратом. Антисептик Хлоргексидин: состав, форма выпуска и его воздействие на организм Хлоргексидин — антисептик широкого спектра действия, успешно применяемый в терапии …