Архивы за месяц Март, 2025

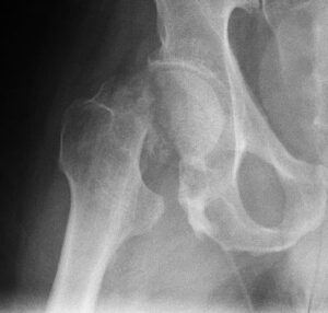
Что такое патологический перелом кости

Патологический перелом — это нарушение целостности кости, возникающее в области патологического ремоделирования. Он отличается от обычного перелома тем, что возникает в результате легкого удара, падения с небольшой высоты или даже простого напряжения мышц. В остальном симптомы этих травм точно такие же, как и при обычном переломе. Причины возникновения патологических переломов Такие травмы являются результатом снижения …

Причины звона в ушах при низком, высоком и нормальном давлении и что делать

Шум в ушах при надавливании — неприятный симптом, сигнализирующий о нарушении артериального давления. Однако эта проблема затрагивает не только людей, склонных к повышенному или пониженному артериальному давлению, но и тех, кто никогда раньше не сталкивался с подобным явлением. Тиннитус поражает даже здоровых людей, которые не жалуются на нестабильную и частую смену давления. Ведь человек в …

Как принимать льняное масло при гиперхолестеринемии

Льняное масло получают из семян методом холодного отжима. Этот процесс обеспечивает сохранение максимального количества витаминов, макро- и микроэлементов, что делает растительный продукт настоящим лекарством. Как принимать льняное масло с повышенным холестерином, чтобы быстро понизить его уровень и нормализовать обмен веществ? В каких случаях использование продукта не рекомендуется? Состав, полезные свойства Линоленовая кислота (Омега-3) влияет на …

Нарост на шейке матки – вариант «не нормы». Основные патологические состояния с такой симптоматикой

Здоровая и неповрежденная шейка матки гладкая. У небеременных женщин отверстие цервикального канала имеет округлую форму, а после родов или увеличения шейки матки оно имеет форму щели. Любое образование на шейке матки должно вызывать бдительность, оно не всегда бывает легким и не проходит само. Что может быть причиной Шейка матки выполняет защитную функцию. Он отделяет полость …

Стеноз легочной артерии: лечение, профилактика, диагностика

Это специфическое заболевание, связанное с сужением пути оттока правого желудочка на клапанной стороне легочной артерии. Такое изменение вызывает значительную обструкцию, и именно из-за этого желудочек должен качать кровь с большим усилием, что, в свою очередь, может повлиять на качество жизни человека. Виды заболевания Из всех известных врожденных пороков сердца изолированный стеноз очень распространен и составляет …

Инструкция по применению Лив.52 — комплексного гепатопротекторного средства

Лив.52 — комбинированный препарат растительного происхождения, что обеспечивает его безопасное применение. Для препарата характерно желчегонное и антитоксическое действие. Он также обладает антиоксидантными, противовоспалительными и антианорексическими свойствами. Форма выпуска, состав и упаковка Выпускается препарат в форме таблеток и капель для приема внутрь. В состав таблеток входят: Оксид железа; Порошок цикория; Черная корзина; Tamarisk gallicum; Терминалия арджуна; …

Как можно определить степень комы у больного при инсульте

Кома, то есть глубокая потеря сознания, когда внешние раздражители не вызывают реакции, известна давно и описана в работах разных авторов. Насколько глубоки эти изменения, можно определить по некоторым симптомам. Когда при инсульте развивается коматозное состояние? Тяжесть инсульта зависит от его характера (геморрагический, ишемический), локализации и степени. Кома чаще встречается при геморрагическом инсульте. Кровоизлияние может располагаться …

Рентгенография черепа: показания и особенности проведения исследования

Человеческий мозг — один из самых непознанных и загадочных органов, и из-за его недоступности врачи долгое время не могли диагностировать патологии в этой области. Открытие рентгеновских лучей позволило визуализировать эту область — теперь можно увидеть травмы черепа, мягких тканей головного мозга и различные заболевания. Краниография или просто рентген головы — важная диагностическая процедура как у …

Что такое гликированный гемоглобин

Гликированный гемоглобин играет важную роль в диагностике диабета. Благодаря ему болезнь можно обнаружить на ранней стадии развития. Благодаря этому можно своевременно приступить к лечению. За уровнем этого показателя следят, чтобы оценить эффективность терапии. Но мало кто знает, что это такое. Знакомимся с гликированным гемоглобином Гемоглобин — это компонент красных кровяных телец, клеток крови, ответственных за …

Инструкция по применению лекарства Лизиноприл, при каком давлении пить, чем заменить, дозировка

Лизиноприл относится к группе гипотензивных средств, способствует снижению артериального и периферического кровяного давления, улучшает работу сердечной мышцы. Препарат улучшает работоспособность у пациентов, страдающих сердечной недостаточностью. Давайте рассмотрим инструкцию по применению Лизиноприла, при каком давлении и как принимать препарат для максимального эффекта и безопасности. Лекарственная форма и состав Фармакологический препарат выпускается только в одной медицинской конфигурации …