Архивы за месяц Апрель, 2025

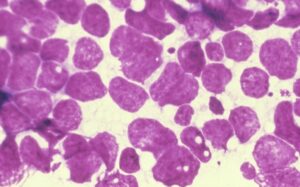
Всё, что нужно знать о немелкоклеточном раке легкого

Рак легкого — это собирательный термин, обозначающий образование и рост злокачественных опухолей, различающихся по структуре, происхождению и другим характеристикам. Обычно он возникает из эпителия слизистой оболочки или желез бронхиальной стенки или альвеол. Немелкоклеточный рак легкого встречается относительно реже, чем другие формы заболевания. Как это диагностируется и лечится? Причины крупноклеточной опухоли У большинства пациентов, страдающих данной …

Рак и параканкрозная пневмония

Паракаркозная пневмония — это неспецифическая инфекционная пневмония, которая развивается на месте опухоли. Это заболевание вторичное, так как возникает на фоне имеющегося опухолевого процесса. В статье рассматриваются механизмы развития заболевания, симптомы и рекомендации по лечению. Этиология и патогенез Злокачественное новообразование осложняет течение пневмонии, в связи с чем увеличивается вероятность быстрого и летального исхода заболевания, особенно если …

Нюансы постановки Манту

Проба Манту используется для диагностики туберкулеза у детей. Получение достоверного результата зависит от соблюдения правил техники манипуляции, а также от сроков проведения пробы и места внутрикожного введения туберкулина. Тест позволяет оценить состояние иммунитета после вакцинации и выявить развитие патологического процесса после заражения туберкулезом. Показания Проба Манту рекомендована для массовой (скрининговой) и индивидуальной диагностики туберкулеза. Это …

Особенности течения персистирующей бронхиальной астмы

Бронхиальная астма — заболевание легких, требующее длительного лечения и регулярного медицинского наблюдения. Лечебная тактика зависит от степени тяжести заболевания, особенностей течения. Классификация астмы позволяет подобрать подходящую схему лечения. Общая информация Классификация болезни основана на клинических симптомах. Критерии тяжести включают количество наблюдаемых дневных и ночных приступов болезни, которые произошли за неделю. Также учитываются данные диагностических тестов: …

Эффективные антибиотики нового поколения при пневмонии

Антибактериальные агенты или антибиотики — это лекарства, которые могут подавлять рост живых клеток, а также подавлять жизненно важные процессы, происходящие внутри бактериальной клетки. Их применение необходимо в случае развития заболеваний, этиологическим фактором которых являются бактерии. Одно из таких заболеваний — пневмония. Антибиотики необходимы, потому что важно быстро искоренить патоген и предотвратить осложнения. Чем лечить воспаление …

Причины возникновения обструктивного бронхита у детей

Обструктивный бронхит — воспаление стенки малых и средних бронхов, сопровождающееся резким уменьшением просвета бронхиального дерева и нарушением его проводимости. Бронхообструктивный синдром у детей вызывается в основном вирусами и бактериями. Важную роль играет отягощающий аллергический и астматический анамнез. В возрастной группе до 5 лет самые высокие показатели диагностированного обструктивного бронхита у детей. Согласно Международной классификации 10 …

Как проводится химиотерапия при раке легкого

Химиотерапия — одно из методов лечения рака легких. Однако это осложняется токсическим действием препаратов. Это пугает пациентов и часто вынуждает их отказаться от лечения. Между тем, большинство побочных эффектов обратимы. Чтобы лечение прошло без осложнений, необходимо знать, как себя вести во время и после процедур. Виды и принцип действия препаратов Химиотерапия — это метод консервативного …

Вторичные симптомы бронхита

Воспалительные заболевания дыхательной системы чаще всего встречаются у пациентов любого пола и возраста. Самый распространенный из них — бронхит. Его симптомы характеризуются сильным кашлем с выделением мокроты и лихорадкой. В сегодняшней статье мы поговорим о неспецифических симптомах, которые могут возникнуть при заболевании: болевом синдроме, насморке, астении и других. Болевой синдром Есть ли болезненные ощущения при …

Как правильно делать ингаляции при бронхите

Лечение бронхита включает в себя комплекс действий: прием лекарств, физиотерапевтические процедуры, массаж и дыхательную гимнастику. Скорость выздоровления и скорость восстановления дыхательной системы во многом зависят от скорости, с которой целебные элементы достигают очагов воспаления в бронхах. О том, нужно или не проводить ингаляции при бронхите, и пойдет речь в этой статье. Преимущества Ингаляция при бронхите …

Ушиб таза при падении

Синяк — это тупая травма, не сопровождающаяся травмой кожи. Эта травма затрагивает только мышечную ткань и кровеносные сосуды и вызывает внутреннее кровотечение. Кровь начинает накапливаться в слоях соединительной ткани. Ушиб таза при падении — самая частая травма в ледовый сезон. Причины Симптомы Диагностика лечение Консервативное лечение Хирургическое лечение Осложнения Причины Ушиб таза возникает из-за механического …