Архивы за месяц Апрель, 2025

Врожденная или внутриутробная пневмония у новорожденных

Статистика показывает, что пренатальные инфекции встречаются примерно в 0,06% случаев, а пренатальная пневмония составляет около 1/3 всех пренатальных аномалий. Внутриутробная пневмония — очень опасное заболевание, которое в 90% случаев приводит к смерти ребенка в первые часы после рождения. Поэтому следует обратить внимание на раннее выявление патологии, так как несвоевременная диагностика и лечение могут привести к …

Растяжение лодыжки

Голеностоп — это часть стопы, которая находится рядом с пяточной или бедренной костью. Этот сустав с медицинской точки зрения называется голеностопным. Растяжения связок голеностопного сустава наиболее распространены среди спортсменов. Это также обычная домашняя травма. В поврежденных волокнах соединительной ткани появляются микротрещины и разрывы. Внутри начинает собираться кровь и межклеточный экссудат. В результате создается среда, способствующая …

Хорошие антибиотики для лечения бронхита

Антибактериальные препараты оказывают смертельное или избирательно разрушающее действие на бактерии, вызывающие многие типы бронхитов. Для каждого типа бронхита подбирается подходящий антибиотик в зависимости от возбудителя инфекции. Богатый выбор современных антибиотиков разных групп и поколений позволяет вылечить болезнь, предотвратить серьезные осложнения и предотвратить хронизацию процесса. Общая информация Антибиотики «трансформировали» инфекционные заболевания с середины прошлого века. С …

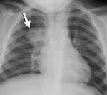
Что такое легионеллезная пневмония

Легионеллезная пневмония (легионеллез) относится к группе атипичных. Возбудителем этой пневмонии обычно является Legionella pneumophila. Болезнь также называют «болезнью легионеров», потому что она впервые заразила людей на съезде Американского легиона в Филадельфии (ветераны войны во Вьетнаме). Тогда эпидемия пневмонии имела серьезные последствия — из более чем 200 заболевших 34 умерли. В настоящее время этот тип пневмонии …

Препарат АСД-2 для лечения рака легких

В середине прошлого века много говорилось о новом препарате — РАС. По словам его создателя А.В. Дорогова, этим препаратом можно было вылечить практически все болезни, даже рак. В то время казалось, что в лечении злокачественных опухолей был сделан прорыв. Но через несколько лет об этом чудо-средстве забывают. В этой статье вы узнаете о терапевтических свойствах …

Лечение гнойной (абсцедирующей, септической) пневмонии

Гнойная пневмония — это не болезнь сама по себе, а осложнение первичной пневмонии. Сам процесс характеризуется ограниченными гнойно-деструктивными изменениями легочной ткани, т.е. образованием абсцесса. При неблагоприятном течении может перерасти в септическую пневмонию. В МКБ-10 гнойная пневмония не выделяется как отдельное заболевание, но может быть классифицирована как «пневмония без определенного возбудителя» (J18). Этиология абсцедирующего воспаления легких …

Медицинский клей для ран и порезов

Даже самые мелкие порезы, царапины и ссадины вызывают дискомфорт и мешают дальнейшей работе. Остановить кровотечение поможет специальный клей для ран, который продается в любой аптеке. Медицинское название препарата — «БФ-6». Он отлично дезинфицирует рану и способствует более быстрому заживлению. Состав «БФ-6» Медицинский клей для различных ран — довольно известное средство, способное склеивать порезанные ткани. Таким …

Раны при сахарном диабете

На конечностях располагаются диабетические раны. Сахарный диабет — хроническое заболевание, вызывающее множество осложнений в организме, в том числе кожных. Кожа становится шершавой, шелушится, на ней появляются болезненные трещинки. Малейшая царапина может долго не заживать и доставлять пациенту дискомфорт. Почему при диабете плохо заживают ранки Нормой заживления ран при сахарном диабете считается период 1-2 недели. У …

Почему развивается очаговая (сливная) пневмония

Очаговая пневмония — это воспалительный процесс легких, в основном альвеолярной или интерстициальной ткани, который, в отличие от лобулярной пневмонии, поражает только ограниченный участок легочной ткани: один или несколько сегментов легкого. Небольшие поражения могут сливаться вместе и образовывать сливную пневмонию, которую сложнее лечить. Классификация МКБ-10: позиции J12-J18. Причины возникновения Этиология пневмонии делится на несколько форм. Первичные …

Прогревания при бронхите

Для снятия сухого кашля, разжижения и отхаркивания мокроты при продуктивном кашле, выведения токсинов из организма к медикаментозной терапии подключаются вспомогательные методы лечения. При отсутствии лихорадки, обструктивного синдрома, гнойных выделений в бронхах применяют согревание в виде компрессов и компрессов. По окончании острого периода и нормализации температуры полезными становятся горячие ножные ванны. Он приносит большую пользу и …