Рубрика «Заболевания и лечение»

Симптомы и лечение грибковой пневмонии

Грибковая пневмония — одна из самых сложных форм пневмонии. В последнее время количество вспышек увеличилось, даже несмотря на использование противогрибковых препаратов последнего поколения. Пневмомикоз сложно диагностировать, и это увеличивает время, необходимое для получения соответствующей терапии, без которой пациент может просто умереть. В большинстве случаев грибковая пневмония свидетельствует об очень тяжелом иммунном состоянии пациента. Этиология и …

Сапожок при переломе шейки бедра

Обувь для деротации при переломе бедра может помочь залечить травму. Это чудо-приспособление — хорошее подспорье в процессе заживления костей. Часто это вспомогательное устройство заменяет другие методы лечения, такие как массаж, физиотерапию и даже физиотерапию. Чем помогает ортопедическая обувь и что это такое, следует разобраться подробнее. Каждая серьезная травма имеет негативные, а иногда и очень серьезные …

Глаукома

Глаукома — это заболевание глаз, которое вызывает необратимое повреждение зрительного нерва, что может привести к слепоте, если вовремя не лечить. Часто симптомы отсутствуют вовсе, поэтому после 45 лет рекомендуется систематически проверять зрение. Глаукомы – общая информация Глаукома — одна из основных причин предотвратимой слепоты. Более чем у 1 из 10 человек в возрасте старше 80 …

Почему геморрой долго не проходит и как ускорить выздоровление?

В этой статье вы узнаете, почему лечение геморроя может длиться долго, и как ускорить восстановление. Может ли геморрой пройти без лечения? Геморрой хроническая патология прогрессирующая, с большим количеством вариантов их развития. Без ранней диагностики начальных симптомов, специальная диета и комплекс упражнений для борьбы с ним практически невозможно. Статистически, «чудо» происходит только в 10% случаев. Однако, …

Какие жалобы бывают у больного пневмонией

Пневмония сначала может протекать бессимптомно или с легкими симптомами (обычно это сухой кашель, который становится влажным через несколько дней, и боль в груди). Из этой статьи вы узнаете, почему так важно следить за всеми изменениями, происходящими в организме. Сначала мы кратко обсудим основные симптомы, а затем рассмотрим менее распространенные состояния пациентов, такие как нарушения артериального …

Характерные особенности сегментарной пневмонии

Сегментарная пневмония у взрослых — это вариант заболевания, при котором воспалительная реакция поражает только один сегмент легкого. Наиболее тяжелым проявлением является многосегментная пневмония (МКБ-10 — от J12 до J18 в зависимости от этиологических особенностей), когда процесс развивается одновременно в нескольких сегментах одного или обоих легких. Площадь поражения может быть довольно большой, что приводит к тяжелому …

Лечение вывиха и подвывиха хрусталика глаза

Вывихнувший хрусталик — серьезная офтальмологическая патология. Линза отвечает за преломление света. Это естественный хрусталик, передающий изображение в мозг. Повреждение хрусталика связано с нарушением зрения и слепотой. Ранняя диагностика и правильно подобранный курс терапии играют огромную роль в выздоровлении. Этиология вывиха и подвывиха Заболевание чаще всего бывает врожденным и возникает из-за слабости или отсутствия цинковых связок. …

Растяжение связок голеностопного сустава

Растяжение связок голеностопного сустава — одна из самых частых травм у детей. Лодыжки состоят из трех костей и связок (твердой, гибкой ткани, которая скрепляет кости). Связки помогают остановить слишком много движений в голеностопном суставе. Растяжения связок голеностопного сустава обычно возникают при внезапном движении или растяжении связок — часто при опрокидывании стопы — и при чрезмерном …

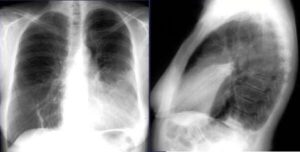
Что такое язычковая (лингвальная) пневмония

Легкое — это парный орган с 3 долями справа и 2 слева. Каждая доля имеет определенное количество сегментов (в правом и левом легких их по 10). В верхней части левого легкого расположены язычные сегменты (верхний и нижний). Лингвальная пневмония — это подвид левосторонней высокодолевой пневмонии, то есть, в отличие от нижнедолевой пневмонии, поражаются тростниковые сегменты …

Лабораторные анализы при бронхите

Чтобы диагностировать причины и определить клиническую форму бронхита, необходимо провести лабораторные исследования крови и мокроты. По результатам исследования бронхита у взрослых устанавливается дальнейшая тактика лечения. Диагностика позволяет выявить и исключить серьезные инфекционные заболевания, предотвратив тем самым развитие опасных для жизни состояний. Кровь Бронхит — полиэтиологическое заболевание, развитие которого может быть вызвано многими причинами. Основное лабораторное …