Рубрика «Заболевания и лечение»

Особенности реабилитации после пневмонии

После того, как острые симптомы пневмонии остались позади, человеческий организм сильно ослаблен и нуждается в помощи для восстановления. Чтобы ускорить процесс, сами пациенты должны соблюдать несколько внебольничных правил. О них и пойдет речь в этой статье. Что принимать, когда принимать, как долго и что вообще делать. Что принимать после воспаления легких? Реабилитация после пневмонии — …

Что такое односторонняя и двусторонняя пневмония

Двусторонняя пневмония у ребенка — опасная форма пневмонии, поражающая обе стороны легких, в отличие от односторонней пневмонии. Он может иметь бактериальную или вирусную природу. В нашей статье мы обсудим, что такое односторонняя и двусторонняя пневмония (ее еще называют двусторонней), симптомы, методы диагностики и лечения. Что это такое? Это инфекционно-воспалительный процесс в тканях легких, вызываемый атакой …

Перелом мизинца на ноге

Одна из самых частых травм костей стопы — перелом мизинца. И несмотря на то, что этот палец небольшой и малоподвижный, в случае травмы пострадавший испытывает сильную боль и требует обязательного квалифицированного лечения. Виды патологии и причины их появления Перелом самого маленького пальца стопы бывает разной природы: Травма закрытого или открытого типа; Без или со смещением …

Мази и гели для лечения связок

Растяжения связок — это проблема не только спортсменов. Любой человек может споткнуться или растянуть сухожилие, что сделает ходьбу неудобной и болезненной. При малоподвижном образе жизни это случается гораздо чаще, чем при ежедневных интенсивных физических нагрузках: связки ослаблены, не готовы деформироваться, и от малейшего удара может произойти перекос. Важно знать, какие лекарства существуют для поддержания напряжения …

Что такое синегнойная пневмония и в чем ее опасность

Pseudomonas aeruginosa — палочковидная грамотрицательная бактерия. Название Pseudomonas aeruginosa происходит от характерного зелено-синего цвета гнойного содержимого ран, инфицированных этим микроорганизмом. Эта особенность была описана в 1862 году доктором А. Лакком. Позже эта палочка стала одной из ведущих причин внутрибольничных инфекций, заняв второе место после Enterobacteriaceae по инфекционности. О синегнойной палочке Псевдомонада — подвижная влажная аэробная …

Симптомы и лечение бронхита с астматическим компонентом

Бронхит с астматическим компонентом — заболевание дыхательной системы с локализацией воспалительного процесса в бронхах. Для него характерны приступы кашля, одышка выдыхательного характера (затруднение выдоха воздуха). Сопровождается повторяющимися явлениями бронхоспазма. В этой статье мы подробно обсудим клинические симптомы и лечение этого заболевания. Причины Конкретную причину бронхита с астматическим компонентом установить невозможно. Заболевание полиэтиологическое — может быть …

Что можно и что нельзя при бронхите у детей

Лечение детского бронхита — это не просто прием лекарств. В лечении инфекционного заболевания решающую роль играет режим, защитные и гигиенические мероприятия. Следование и соблюдение врачебных рекомендаций обеспечит быстрое и полное выздоровление. Из этой статьи вы узнаете, может ли ребенок заразить других детей или ребенок, больной бронхитом, может летом выходить на улицу, купаться и ходить в …

Бессимптомное течение коронавируса

Пандемия COVID-19 уже затронула большое количество людей во всем мире, и это число растет с каждым днем. Однако, по некоторым данным, официальная статистика как минимум вдвое ниже, чем есть на самом деле. Исследования были проведены во многих странах, и было обнаружено, что коронавирус может пройти не только без пневмонии, но и без каких-либо симптомов. В …

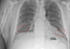
Застарелая или запущенная пневмония

Длительная или запущенная пневмония — это острое заболевание легких, которое по разным причинам осложнилось и имеет длительное течение. Этот термин является профессиональным медицинским сленгом, обозначающим застарелую болезнь, и не используется в официальной медицине. Кроме того, врачи иногда называют запущенную пневмонию «наземной» пневмонией. Чаще всего эти слова используются для объяснения болезни пациентам, потому что немедицинские люди …

Способы лечения пневмонии у пожилых людей

При подозрении на гипостатическую пневмонию пациентам пожилого возраста и прикованным к постели больным необходима госпитализация в палату легочной медицины или внутренних болезней. Поскольку иммунная система этих людей ослаблена, они требуют постоянного наблюдения во время лечения. Опасность пневмонии у таких пациентов связана с тем, что поставить точный диагноз на основании одних лишь симптомов достаточно сложно, а …