Что такое патологический перелом кости

Что такое патологический перелом кости

Патологический перелом — это нарушение целостности кости, возникающее в области патологического ремоделирования. Он отличается от обычного перелома тем, что возникает в результате легкого удара, падения с небольшой высоты или даже простого напряжения мышц. В остальном симптомы этих травм точно такие же, как и при обычном переломе.

Что такое патологический перелом кости

Причины возникновения патологических переломов

Такие травмы являются результатом снижения прочности костей, что вызвано различными заболеваниями и патологическими состояниями:

  • остеопороз;
  • остеомиелит;
  • гиперпаратиреоз;
  • костные опухоли.

Наиболее частым заболеванием, которое может привести к патологическому перелому, является снижение плотности костной ткани, вызванное остеопорозом. При этом заболевании нарушается костный обмен, и процессы катаболизма (разрушения) преобладают над процессами костеобразования. Заболевание долго остается латентным и часто диагностируется только после того, как произошел перелом.

Что такое патологический перелом кости

Различают первичный и вторичный остеопороз. Первый — следствие естественных процессов в организме. Это может произойти после менопаузы, в пожилом возрасте или по неизвестной причине и поэтому называется идиопатическим остеопорозом.

Вторичный остеопороз может возникнуть в результате:

  • эндокринные нарушения;
  • заболевания пищеварительной системы;
  • ревматические заболевания и заболевания соединительной ткани
  • болезни крови;
  • болезнь почек.

Гиперпаратиреоз — это патология, при которой гормон паращитовидных желез секретируется в чрезмерном количестве. Это приводит к деминерализации костей и, как следствие, к их большей хрупкости.

Остеомиелит — гнойно-некротический процесс, поражающий кости и костный мозг. Это вызвано продуцирующими гной бактериями, которые попадают в место воспаления через кровоток или после проникающей травмы.

Изменения костной структуры, которые могут привести к патологическим переломам костей, также вызваны развитием раковой опухоли. Костная ткань также становится очень хрупкой при развитии опухоли.

Возникновение патологического перелома

Что такое патологический перелом кости

Наиболее часто поражаются следующие кости:

  • позвонки;
  • эпифиз лучевой кости;
  • шейка бедра.

Как упоминалось выше, такие переломы костей возникают в результате ударов малой силы, таких как падение с небольшой высоты. В некоторых случаях человек, получивший такую ​​травму, может даже не подозревать об этом. Например, перелом позвонка может не вызывать никаких симптомов — боль появляется только при повреждении нескольких соседних позвонков.

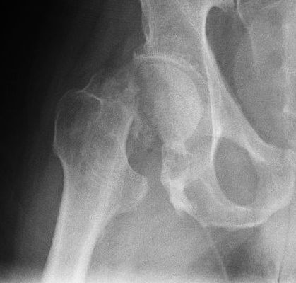
Диагностика

Что такое патологический перелом кости

Патологический перелом диагностируется на основании жалоб пациента, осмотра и характера травмы — если к кости было приложено небольшое усилие.

Важны результаты рентгенологического исследования. Компьютерная томография и магнитно-резонансная томография (МРТ) также могут оценить состояние ваших костей и окружающих тканей. Во время этих тестов можно наблюдать изменения, которые делают возможным образование патологического перелома.

Денситометрия используется для диагностики остеопороза. При подозрении на опухоль кости проводится сцинтиграфия. В некоторых случаях точный диагноз можно поставить только после проведения биопсии. В некоторых случаях также могут помочь анализы крови, такие как тесты на кальций и щелочную фосфатазу. Однако эти тесты неспецифичны и служат только в качестве дополнительных данных.

Лечение патологических переломов

Терапевтический подход зависит от основного заболевания, вызвавшего изменения костей, а также от локализации травмы и ее характера. Патологические переломы лечат теми же методами, которые способствуют раннему заживлению нормальных переломов, но из-за изменений в структуре костей время восстановления обычно намного больше.

Что такое патологический перелом кости

  • Метод фиксации используется в 70% случаев. Он заключается в наложении пластыря или полимерной повязки, фиксирующей костные фрагменты до полного заживления. Таким образом, обездвиженные мышцы остаются неподвижными в течение длительного времени, что приводит к их атрофии и, таким образом, увеличивает риск повторения переломов.
  • Метод растяжения или вытяжения применяется в тех случаях, когда необходимо постоянно растягивать поврежденный участок, чтобы уменьшить смещение перелома. Используются специальные утяжелители, вес которых уменьшается по мере срастания костей.
  • Хирургический метод включает соединение фрагментов кости и их соединение в ходе хирургической операции. Для фиксации отломков используются специальные внутренние и внешние фиксирующие конструкции.

Патологические переломы позвоночника лечат путем иммобилизации поврежденного участка, необходим строгий постельный режим. Использование специальных ортопедических конструкций — корсетов и воротников — помогает сохранить способность медленно восстанавливаться после травмы. При повреждении сустава можно провести артропластику.

Что такое патологический перелом кости

Важно лечить основное заболевание, позволившее возникнуть патологическому перелому. Например, остеопороз требует применения лекарств для восстановления структуры кости до нормального состояния и улучшения структуры и минерального состава костной ткани. Остит лечится антибиотиками, а в случае рака устраняется хирургическим вмешательством, лучевой терапией, химиотерапией или их комбинацией.

Профилактика

В настоящее время патологические переломы не только хорошо лечатся, но зачастую их можно предотвратить. Для этого заболевание, которое может вызвать такую ​​травму, необходимо диагностировать и лечить достаточно рано.

Например, пациенты с остеопорозом должны принимать вышеупомянутые лекарства, влияющие на структуру костей. Помните, что большинство безрецептурных лекарств, рекомендуемых для лечения этого состояния, неэффективны, поскольку содержащиеся в них вещества не усваиваются организмом. Однако лечение, назначенное специалистом после осмотра и постановки диагноза, остановит или, по крайней мере, замедлит прогрессирование заболевания.

Такие проблемы, как переломы позвонков, запястья или бедра, в результате снижения плотности костей, могут привести к длительной инвалидности и помешать вам вести нормальный образ жизни. Забота о собственном здоровье и своевременная профилактика помогут избежать этих проблем и сохранить здоровье и благополучие на долгие годы.

Источник

Добавить комментарий

Ваш адрес email не будет опубликован. Обязательные поля помечены *