
Эндометриоз — распространенное заболевание у женщин детородного возраста. В диагностике используются лабораторные и инструментальные методы.
Магнитно-резонансная томография при эндометриозе позволяет точно определить степень продвижения и площадь поражения.
Описание и симптомы заболевания
Эндометриоз — это доброкачественное разрастание ткани во внутреннем слое стенок матки.

Изменения появляются в тканях яичников, маточных труб. Опасность заболевания заключается в следующем:
- разросшиеся ткани закупоривают маточные трубы, выход плодного яйца невозможен;
- Внутриутробный эндометриоз препятствует нормальной имплантации оплодотворенной яйцеклетки;
- Опухоли не умирают, продолжают размножаться и опасны из-за заражения крови, поражения кишечника.
На протяжении многих лет болезнь может не проявлять никаких симптомов или маскироваться под обычное женское состояние: болезненные менструации, слабость, обильные менструальные кровотечения.
Состояния и симптомы, на основании которых гинеколог может заподозрить развитие эндометриоза:
- нет беременности, несмотря на регулярные попытки;
- тянущие боли, усиливающиеся при менструации;
- дискомфорт при половом акте;
- увеличение яичников и матки — проявляется болями при физической нагрузке, нерегулярностью стула;
- сочащиеся темные выделения в середине менструального цикла.
Мокнущие выделения и боль во время секса — повод как можно скорее обратиться к гинекологу. Они сопровождают не только эндометриоз, но и кисты, миомы и эрозии шейки матки.
На завершающей стадии процессы гиперплазии эндометрия начинаются в брюшине и затрагивают кишечник, желудок, почки, печень и селезенку.
Зачем назначается МРТ малого таза
МРТ позволяет увидеть очаги гиперплазии эндометрия с точностью до 98%, оценить глубину зарастания тканей, выявить изменения не только фертильности, но и других соседних органов.
Такая диагностика вызывается в тех случаях, когда ультразвуковое исследование и другие методики не дают достаточной информации или требуют подтверждения результатов.
Показания к проведению и противопоказания
Диагноз эндометриоза показан в следующих случаях:
- трудности с постановкой диагноза по результатам УЗИ, компьютерной томографии, рентгена, анализов;
- Противоречие результатов исследования клинической картине;
- дифференциальная диагностика рака;
- подозрение на эндометриоз ЖКТ — на УЗИ не обнаруживается;
- вероятность развития эндометриоза мочевыводящих путей и мочевого пузыря;
- отсутствие беременности при регулярных попытках;
- Боль внизу живота, менструальные выделения вне менструации;
- Отек органов при пальпации.
Магнитно-резонансная томография противопоказана при наличии в организме металлических или электронных устройств: винтов, инсулиновой ручки, кардиостимулятора, металлических осколков из ран.

Если у вас аллергия на контрастное вещество, лечение не рекомендуется. МРТ при беременности в первом триместре запрещена.
Противопоказанием является почечная и печеночная недостаточность, тяжелая бронхиальная астма.
Пациенту потребуется как следует подготовиться. Перед началом процедуры вас повторно проинструктируют относительно движений МРТ, наличия металлических предметов и других особенностей.
Подготовка и ход процедуры
Чтобы четко видеть очаги эндометриоза и количество разросшейся ткани, следует учитывать день менструального цикла.
Лечение рекомендуется в период с 6-го по 12-й день цикла — за это время будут наиболее отчетливо видны тканевые включения.
В день процедуры следует подготовить:
- при проблемах с дефекацией следует сделать клизму;
- при необходимости принимать средства от метеоризма и судорог;
- Снимите украшения, часы и оставьте мобильный телефон за пределами комнаты для осмотра.

Чтобы томограф зафиксировал включения эндометрия, кишечник необходимо опорожнить, особенно если гинеколог подозревает наличие в кишечнике очагов эндометриоза.
Пациента укладывают на специальную кровать, которую поднимают и забивают в аппарат. Во время процедуры можно услышать звуки его работы — это колебания катушек.
В остальное время следует лежать неподвижно, чтобы изображение было четким.
Процедура занимает 15-45 минут, в зависимости от КТ-сканера. Врач общается с пациентом через звуковую систему. Пациент держит кнопку связи. Если станет страшно, нажмите эту кнопку, и тест остановится.
Лучше лежать внутри сканера с закрытыми глазами и расслабиться. Чем спокойнее и глубже дыхание пациента, тем лучше будет запись.
Находиться в замкнутом пространстве устройства безопасно, но это может беспокоить даже тех, кто не страдает клаустрофобией.
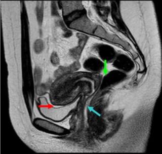
Что видно в результатах
Результаты представлены на диске или другом носителе. Специалист выдает заключение, в котором отмечает локализацию эндометриоза, степень развития, глубину инфильтрации и возможные осложнения. Окончательный диагноз ставит гинеколог.
Результаты МРТ показывают:
- утолщение стенок матки;
- эндометрий в яичниках, маточных трубах;
- небольшие кисты в соединительной или мышечной ткани;
- неоднородность структуры тканей;
- спайки и узелки.

Яркие пятна при эндометриозе
Эндометриоз требует точной диагностики и своевременного лечения. В противном случае развивается бесплодие, а постоянное воспаление брюшины грозит спайками, кистами, а в некоторых случаях — злокачественными процессами.
МРТ позволяет визуализировать очаги заболевания и выбрать наиболее эффективный, узконаправленный метод лечения.