Перелом акромиального конца ключицы

Перелом акромиального конца ключицы

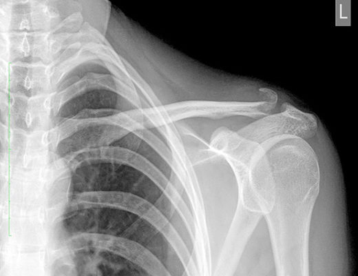
Надмыщелковый перелом ключицы — патологическое состояние, при котором нарушается целостность акромиального конца этой кости.

Механизм травмы

Перелом акромиального конца ключицы составляет около 1/3 всех переломов этой кости.

Эти травмы часто встречаются у детей, спортсменов и людей, ведущих активный образ жизни.

Обычно ломают ключицу у детей старше 7 лет. Однако новорожденные также страдают от травм, полученных при прохождении через родовые пути. У детей обычно заживает быстро и без последствий.

Распространенной причиной нарушения целостности костей является падение на отведенную руку или плечевой сустав с высоты или с велосипеда, особенно на склоне, мотоцикле или сноуборде. Перелом плечевой кости также случается при автомобильных авариях.

Ключица с меньшей вероятностью будет повреждена в результате прямого удара в плечо. Это может произойти во время ринга или столкновения во время игры, например, футбола или хоккея.

Помимо травмы, травма также может быть вызвана нарушением костной структуры в результате инфекционного или опухолевого заболевания, это называется патологический перелом. Это может произойти без сильного удара по кости, например, от резкого движения.

  1. Механизм возникновения повреждений
  2. Методы диагностики
  3. Первая помощь и лечение
  4. Реабилитация после лечения
  5. Народные средства

Если на руке есть рана, на которой видны костные фрагменты, это открытый перелом. Если целостность кости нарушена без повреждения кожи — ее закрывают. Переломы далее подразделяются на переломы, множественные трещины, полные, неполные, поперечные, косые и т. д.

В ключице довольно сильные мышцы (дельтовидная, грудинно-ключичная, большая грудная и др.), Поэтому они много двигаются. Острые края могут повредить плевру, близлежащие нервы и сосуды.

Методы диагностики

Диагноз обычно не составляет труда, поскольку деформация или аномалия кости четко видны. Симптомы могут включать:

  • Характерная поза (пациента поддерживают рукой, поднесенной к телу на травмированной стороне);
  • Лопатка смещена вперед-вниз;
  • Невозможность поднять руку из-за боли;
  • отек предплечья;
  • кровоизлияние в области ключиц;
  • Ощущение хруста при попытке поднять руку.

Однако внешний осмотр не дает информации о точном характере травмы, поэтому следует сделать рентген. В сложных случаях перелома ключицы со смещением может быть проведена компьютерная томография или магнитно-резонансная томография. Определение степени и характера смещения перелома, наличия или отсутствия разрыва связок и вывиха определяет варианты лечения.

Первая помощь и лечение

Первая помощь заключается в иммобилизации травмированного места. Его можно зафиксировать повязкой Dezos или кольцами Delbe.

Также полезно прикладывать холод для уменьшения отека и боли, которая обычно бывает довольно сильной. Могут быть назначены обезболивающие (Кетанов, Аспирин, Нурофен, Кеторолак и др.). Ни в коем случае не пытайтесь исправить перелом самостоятельно, это должен делать врач.

Лечение может быть консервативным или хирургическим.

Если у пациента есть противопоказания к операции или он не согласен с ней, то применяется консервативный метод. Чтобы исключить смещение отломков и создать неподвижность в суставе, его иммобилизуют различными повязками на время, необходимое для заживления сустава. Однако часто этот метод не восстанавливает полную длину, и плечевой сустав деформируется и укорачивается. Недостатком консервативного лечения также является длительный период иммобилизации: от 4 недель в случае перелома без смещения до 12 недель. Значительно ухудшается качество жизни пациента: активность ограничена, сон ограничен спиной, купание невозможно.

Во время заживления костный мозг утолщается. Со временем его размер уменьшается, но, как правило, остаетсянебольшое утолщение.

Одновременно проводится медикаментозная терапия, заключающаяся в назначении нестероидных противовоспалительных средств, уменьшающих болевые симптомы и отек.

Если попытка врача исправить смещение кости не удалась (имеется смещение шириной более 2 см или длиной более 2 см), требуется операция — остеосинтез.

Во время операции костные фрагменты перемещаются, и кость удерживается вместе металлической конструкцией. В настоящее время наиболее распространенным методом является остеосинтез крючком. После корректировки смещения длины, ширины и угла пластину кладут на верхнюю поверхность ключицы так, чтобы крючок пластины находился под акромионом.

В послеоперационном периоде руку иммобилизуют на 2-3 недели. Пациенту могут быть назначены противовоспалительные препараты (Парацетамол, Аспирин, Ибупрофен).

Через несколько месяцев проводится повторная операция по удалению налета. Иногда удалять налет не нужно, и он остается в плече на всю жизнь.

Основные осложнения хирургического лечения перелома ключицы со смещением:

  1. Нет перелома ключицы. Размещение тарелки не гарантирует заживления. Вероятность этого осложнения высока в случае множественных травм костей, неправильного выбора пластины или чрезмерно травматичной операции.
  2. Инфекционное заболевание — остеомиелит. Для профилактики остеомиелита необходимо своевременно лечить открытые раны, соблюдая требования стерильности. Пациенту необходимо пройти курс антибиотиков.
  3. Травма близлежащих нервов или кровеносных сосудов.
  4. Плохое или медленное заживление. При сложном переломе ключицы со смещением консолидация костных отломков может быть замедленной или неполной. Плохая фиксация костных фрагментов может привести к укорачиванию костей, нарушив нормальный диапазон движений в плече.

Хотя существует множество методов лечения перелома ключицы со смещением, частота ошибок и осложнений довольно высока — 13–30%. Если заживление не удается, пациент испытывает боль в костях и деформацию в месте травмы, а диапазон движений руки может быть ограничен. В результате пациент не может вести активный образ жизни, его трудоспособность ограничена, нельзя исключать даже инвалидность.

Реабилитация после лечения

Через несколько дней после наложения фиксирующей повязки или пластыря пациенту придется медленно двигать плечом. В противном случае подвижность сустава может быстро ухудшиться после длительного периода бездействия. После снятия гипса пациенту следует пройти физиотерапию для восстановления силы и подвижности плеча. Он может приступить к тренировкам, как только боль утихнет. Гимнастику нужно выполнять несколько раз в день, желательно перед зеркалом, чтобы контролировать правильную технику. Поначалу упражнения могут быть болезненными, особенно если вы поднимаете руки.

Посттравматический массаж помогает быстрее восстановиться. Если нет воспаления или открытой раны, сустав можно согреть в горячей воде. Также пригодятся различные мази и гели.

Пациенты, перенесшие перелом ключицы со смещением, часто спрашивают, как быстро они смогут восстановиться и вести активный образ жизни. Этот вопрос нужно обсудить индивидуально с лечащим врачом. Однако стоит помнить, что тяжелые физические нагрузки, особенно статические, в первые месяцы после начала лечения категорически противопоказаны. Это касается, например, велоспорта. Чрезмерный стресс может привести к повторной травме, которую сложнее вылечить.

В большинстве случаев такая травма заживает без последствий. Однако зачастую косметические дефекты остаются на всю жизнь: рубцы,неравенства и асимметрии.

Народные средства

Для ускорения сращения костей можно использовать народные методы.Нанесите на больное место мазь мумие, сырой картофельный гриб, отвар из почек плюща, герани и золотую палочку.

Также можно использовать магнитную терапию.Магнит стимулирует кровообращение в травмированном месте и снимает отек.

Варианты магнитотерапии:

  1. Приложите к больному месту.
  2. Круговые движения магнита по часовой стрелке 15-20 минут.

Во втором случае один полюс магнита должен воздействовать на место травмы 7-10 минут, а другой полюс — оставшуюся половину времени.

Для более быстрой регенерации поврежденной кости рекомендуется прием лекарственных препаратов и биологически активных добавок (БАД), содержащих коллаген, кальций и витамин D.

Источник

Добавить комментарий

Ваш адрес email не будет опубликован. Обязательные поля помечены *