Архивы за месяц Февраль, 2025

Рана от гвоздя

Рана ногтя особенно опасна при попадании инфекции, одним из самых опасных последствий которой является столбняк. Поэтому важно, чтобы в случае травмы вам была оказана правильная первая помощь, а также было оказано своевременное лечение. Виды ран от гвоздя При повреждении кожи такими предметами, как гвоздь, стружка, игла и т. д., Образуется колото-резаная рана. Открытие может быть …

Особенности диагностики туберкулеза у детей

Туберкулез — болезнь, которую человечество знает очень давно и за это время довольно хорошо изучило. Однако из-за полиморфизма заболевания оно может быть диагностировано довольно поздно, особенно у детей. В этой статье мы обсудим вопросы, связанные с туберкулиновой диагностикой и методами ранней диагностики туберкулеза у детей. Анамнез и жалобы Диагностика туберкулеза, как и любого другого заболевания, …

Алкоголь понижает или повышает давление?

Давайте выясним, как алкоголь влияет на кровяное давление: оно повышать или понижать кровяное давление, и какое влияние на систему кровообращения имеют различные алкогольные напитки? Влияние на давление Алкогольная терапия имеет множество эффектов для сердечно-сосудистой системы: кровяное давления может расти или падать. Так, например, 50 мл коньяка часто снижает кровяное давление, но большие дозы имеют противоположный …

Медикаментозное лечение цервицита шейки матки у женщин

Цервицит — это состояние женской репродуктивной системы, которое проявляется воспалением шейки матки. Основными причинами возникновения этого заболевания у женщин являются: различные инфекционные заболевания, передающиеся при половом акте, заболевания, вызванные вирусными организмами, а также физические воздействия негативного характера. Виды заболевания и причины возникновения Есть несколько могут отличаться по некоторым симптомам. а также лечение. Цервициты делятся на …

Желчегонное средство Одестон — инструкция по применению

Одестон производится польской фармацевтической компанией и представляет собой антихолестериновый препарат, основной ингредиент которого производится синтетическим путем. Его действие особенно направлено на желчевыводящую систему, где он положительно влияет на образование и выведение желчи в пищеварительном тракте, предотвращает образование холестериновых камней в этом органе. Формы выпуска и состав Одестон выпускается в виде таблеток крепостью 200 мг, имеющих …

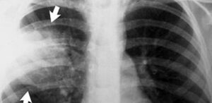
Как выглядит пневмония на снимке

Рентген грудной клетки по-прежнему является золотым стандартом в диагностике большинства респираторных патологий. Пневмония не исключение; признаки патологии обнаружить на рентгеновском снимке несложно. Рентгенологическое исследование важно для постановки точного диагноза, а также играет ключевую роль при дифференциальном обследовании. Важно иметь общее представление о том, как выглядит пневмония у взрослых и детей. Рентген снимок атипичной пневмонии Атипичная …

Как правильно оказать первую помощь при обмороке?

Обморок — это кратковременная потеря сознания, которая может быть вызвана психическим или органическим заболеванием. Если это длится дольше, это называется «комой». Обморок вызван временным нарушением кровообращения в головном мозге. В этой статье мы рассмотрим, как оказать первую помощь при обмороке. Обморок имеет код R55 в Международной классификации болезней (МКБ-10). Причины Разница между коллапсом, обмороком и …

Разрешен ли прием Тримедата во время беременности?

Тримедат при беременности назначают при нарушениях перистальтики кишечника: диарее, запорах, метеоризме, кишечных коликах, спазмах, тошноте, рвоте. Препарат нормализует перистальтику, принимая участие в продвижении пищевых комков. Таблетки, содержащие действующее вещество, проявляют фармакологические свойства: стимулирует перистальтику кишечника в гипокинетическом состоянии; проявляет спазмолитические свойства при гиперкинетических состояниях; работает по всему пищеварительному тракту; Сливает содержимое желудка; снижает давление на …

Что такое трубное и перитонеальное бесплодие и как его лечить?

Катушка-перитонеальный бесплодие неспособность зачать благодаря повреждению маточных труб, когда яйцо, в результате чего яичко не может достичь полости матки, где он должен встретиться с спермой. Этот тип бесплодия происходит очень часто, главным образом из-за воспалительных заболеваний, развивающихся у делелей и соседних органов. Наличие патологии демонстрируется возникновением рецидивирующей боли в животе, частое возникновение желтого, зеленоватого или …

Список лучших карманных ингаляторов от бронхиальной астмы

Препараты в виде порошков и аэрозолей играют важную роль в лечении бронхиальной астмы. Большинство пациентов всегда носят с собой карманные ингаляторы от астмы (сальбутамол или другие продукты). Больным астмой важно знать, какие спреи подходят для ежедневного использования, а какие — только во время приступа. Типы ингаляторов и классы лекарств, применяемых для лечения астмы, подробно описаны …