Архивы за месяц Февраль, 2025

Как навсегда вылечить панкреатит

Когда у пациента панкреатит, первый вопрос, который нужно задать себе, — можно ли его вылечить. На этот тревожный вопрос невозможно дать однозначный ответ, потому что, с одной стороны, болезнь излечима, а с другой — при хронической форме болезни неизбежны рецидивы. Как можно навсегда вылечить панкреатит? Только эффективное лечение может помочь преодолеть панкреатит. Протекание заболевания Из-за …

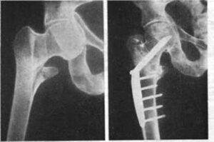
Ложный сустав после перелома шейки бедра или голени

Псевдосустав после перелома — одна из самых частых и сложных патологий. В данном случае мы имеем дело с костной мозолью, которая не имеет четких границ. Это явление может сопровождать переломы любых суставов. Однако чаще всего псевдосустав возникает при травмах голени и переломах бедра. Причины образования ложного сустава Основная причина образования псевдосустава — ненадежная фиксация сломанных …

Выявление «виража» туберкулиновой пробы Манту у детей

Ежегодная проба Манту и обнаружение «спайков» (от отрицательного к положительному) у ребенка позволяет на раннем этапе подозревать первичную инфекцию Mycobacterium tuberculosis. Несмотря на диагностические трудности в различении истинной инфекционной аллергии от аллергии на вакцины, тест на заражение вирусом Манту у детей по-прежнему является критерием для выбора возможно инфицированных людей. Существует концепция и некоторые показатели вирусной …

Вирус “микоплазма пневмония” у детей

У детей в легких может развиться до пяти различных типов возбудителей микоплазм, наиболее опасным из которых является микоплазменная пневмония. Дети до 15 лет подвержены более высокому риску заболевания. Заболевание передается воздушно-капельным путем, распознать его может только опытный врач, так как первые симптомы болезни похожи на вирусную инфекцию. В нашей статье вы узнаете, что такое бактерия …

Сосудистые воспаления: диагностика и лечение

Воспаление кровеносных сосудов, также известное как васкулит, — очень разнообразное заболевание, которое трудно диагностировать. Дело в том, что симптомы связаны не столько с состоянием стенок сосудов, сколько с поражениями в органе, обслуживающем сосуд. В результате наблюдаемые симптомы совпадают с описанием воспаления органа, тогда как настоящая причина заболевания совершенно другая. Общая картина заболевания Васкулит включает все …

Тромбоз печёночных вен (синдром бадда киари)

Синдром Будды-Киари — неоднородное заболевание. Его начальные симптомы могут варьироваться в зависимости от заболевания, пока все они не сойдутся в единую картину. Для этого заболевания характерно нарушение венозного оттока из печени, что проявляется увеличением печени, скоплением жидкости в брюшной полости, болями в животе. Распространение Синдром Киари Бадда считается редким. Согласно исследованиям, среди европейского населения один …

Причина метеоризма у взрослых

Как следует из названия, в этой статье мы разберемся с темой: вздутие живота у взрослых, причины и лечение этого недуга. Повышенное газообразование (метеоризм) — проблема, с которой хоть раз сталкивался каждый человек. Однако такие неприятные симптомы могут быть не такими простыми, как может показаться на первый взгляд. Давайте разберемся, откуда берется газ в кишечнике. Метеоризм …

Результаты исследований крови при развитии панкреатита

Неправильная диета, перекус на ходу, чрезмерное курение и употребление алкоголя, а также неконтролируемое употребление лекарствоов могут вызвать диабет или вызвать острое или хроническое воспаление поджелудочной железы. Чтобы вовремя действовать, необходимо знать, какие анализы нужно провести, чтобы выявить причину недугов и назначить соответствующую схему лечения. Для постановки точного диагноза следует провести общие анализы мочи, кала и …

Противовирусные средства – недорогие, но эффективные препараты

Меры, которыми мы будем заниматься, называются антивирусными средствами. Почему они так называются? Вирусы — это микроскопические организмы, невидимые невооруженным глазом, которые могут нанести вред здоровью человека. Противовирусные препараты были разработаны фармацевтами во многих странах мира, чтобы остановить рост вирусов и помочь иммунной системе их уничтожить. Самостоятельно подобрать подходящее средство сложно. Поэтому при вирусной инфекции необходима …

Лечение тромбофлебита вен нижних конечностей

При воспалении стенок вен могут образовываться тромбы — так развивается тромбоз глубоких вен нижних конечностей. Чаще всего поражаются ноги, поскольку кровь имеет тенденцию застаиваться в венах. Во время флеботромбоза тромб формируется слабо, но вторая стадия заболевания называется тромбофлебитом. Это заболевание чрезвычайно опасно, потому что с пациентом могут случиться две неприятные вещи: закупорка кровеносного сосуда и …