
Псевдосустав после перелома — одна из самых частых и сложных патологий. В данном случае мы имеем дело с костной мозолью, которая не имеет четких границ. Это явление может сопровождать переломы любых суставов. Однако чаще всего псевдосустав возникает при травмах голени и переломах бедра.
Причины образования ложного сустава
Основная причина образования псевдосустава — ненадежная фиксация сломанных частей кости во время лечения травмы. Следующие факторы могут способствовать образованию неестественных костных отростков:
- Слишком рыхлый или наоборот тугой в некоторых местах гипса;
- Ошибки фиксации костей спицами или пластинами;
- Резекция сломанной кости;
- Необходимость замены гипсовой повязки во время лечения и преждевременного снятия опорных спиц и пластин;
- Осложнения гнойных переломов;
- Раннее приложение нагрузок на травмированную конечность.

Гипс может быть причиной ложного сустава после перелома
Некоторые виды заболеваний, тормозящие регенерацию костной ткани и обменные процессы в организме, также являются причиной образования псевдосустава после перелома. К таким заболеваниям относятся:
- Рахит;
- Патологии эндокринной системы;
- Злокачественная кахексия;
- Остеопороз;
- Остеоартроз.
Длительная общая интоксикация организма пострадавшего также может способствовать возникновению ложного сустава.
Факторы, провоцирующие развитие патологии
Факторы, которые значительно увеличивают риск возникновения псевдосустава после перелома, включают:
- Сломанные кости на множественные фрагменты при переломе;
- Повреждение надкостницы при хирургических вмешательствах;
- Длительный непрерывный прием антикоагулянтов и препаратов стероидной группы;
- Удар мягких тканей или инородного тела осколками или колющей костью;
- Отказ от металлических сплавов, используемых в виде скоб, пластин или гвоздей для иммобилизации поврежденных костей;
- Нарушение правил сборки отломков сломанной кости;
- Закупорка внутрикостного канала ретенционной пластиной поврежденной кости;
- Нарушение кровообращения в месте перелома костных фрагментов;
- Нет отека и гематомы в месте раны. Когда возникает отек, увеличенный размер ткани сохраняет поврежденную кость в ее естественном положении;
- Слишком большое расстояние между частями сломанной кости из-за травмы.
Наличие глубокого ожога или лучевого поражения кожи в месте перелома или рядом с ним также может способствовать развитию ложного сустава.
Ложный сустав после перелома: симптомы
Данная патология сопровождается несколькими специфическими симптомами, позволяющими легко выявить наличие ложного сустава. К ним относятся:
- Наличие неестественной амплитуды и направления движения поврежденной конечности;
- Появление отека с четкими границами ниже места повреждения кости;
- Необычная подвижность участков тела, прилегающих к месту перелома, а также изменение их функции. Когда кости голени повреждены, ступня может смещаться, а пальцы ног могут не двигаться.
Часто при наличии ложного сустава наблюдается ослабление мышечной ткани. Пациент не может двигать пальцами пораженной конечности, уверенно опираться на нее, длительное время прилагать физическую силу.
Классификации и виды патологии
Патологию, возникшую в результате перелома, можно классифицировать сразу по нескольким признакам:
- Тип и интенсивность патологического костеобразования;
- Симптомыклинический.
При рассмотрении механизма образования повреждений, провоцирующих развитие приобретенной патологии, различают огнестрельные ранения и травмы без огнестрельного оружия.
Тип и интенсивность патологического костеобразования
В зависимости от характера симптомов ложный сустав может быть неосложненным или инфицированным. Неосложненная патология — это развитие ложного сустава, при котором не возникают гнойные или инфекционные воспалительные процессы. В патологии инфицированного наблюдается обширное поражение костной и мышечной ткани при гнойной или бактериальной инфекции.
По интенсивности неестественное костеобразование относится к следующим видам:
- Гипертрофический. Гипертрофия костей и образование ложных суставов начинаются в момент перелома кости;
- Нормотрофный. Феномен костной мозоли при переломах отсутствует;
- Атрофический. Плохое кровоснабжение поврежденного участка и появление наростов на костных отломках.
Остеопороз с большой вероятностью можно диагностировать при атрофическом псевдоартрозе.
Виды патологии по клиническим проявлениям
При рассмотрении клинических симптомов ложного сустава патология делится на такие виды:
- Формирующий. Он возникает на завершающей стадии сращения костей и сопровождается мучительной болью. Болевые ощущения локализуются в области разрастания костной мозоли и значительно усиливаются при пальпации этой области.
- Волокнистый. По мере срастания поврежденной кости между щелями образуется щель. Он содержит фиброзную ткань, видимую при рентгенологическом исследовании. С появлением костной мозоли подвижность конечностей значительно ограничивается.
- Некротический. Часто возникает при травмах шейки бедра и поясницы. Патология сопровождается развитием абсцесса, способствующего быстрому повреждению и гибели здоровых тканей.
- Регенерация кости в псевдосуставе. Эта патология в основном возникает из-за ошибок в лечебном процессе растяжения конечности или иммобилизации поврежденных костных тканей. Чаще всего этот вид заболевания возникает при переломах голени.
- Правда. Псевдосустав образуется на фиброзной хрящевой ткани, а также на краях поврежденной кости. В этом случае вокруг отломков появляется аналогичный околосуставный мешок.
Процесс формирования истинной костной мозоли называется неоартрозом, в то время как другие типы патологии обычно называют псевдоартрозом.
Диагностика
Поскольку возникновение ложного сустава после перелома чаще всего происходит во время сращения костей, диагностика проводится на основании рентгенологического исследования. Это включает в себя снятие фиксирующей повязки с пациента и рентген. Жалобы пациента учитываются, но не являются решающими для постановки диагноза.

Рентгенограммы — это диагностический инструмент в случае образования ложного сустава после перелома.
В процессе изучения рентгеновского снимка, врач обращает внимание на такие признаки патологии:
- Наличие несвязанных переломов;
- Обтачивание концов шрапнели и раненых костей до округлости и гладкости;
- Наличие на месте травмы медицинских ретенционных пластин, частично или полностью перекрывающих приток крови и кислорода к пораженным органам и частям тела;
- Наличие ярко выраженного разрыва на стыке двух отломков.
Рентгенография может только обнаружить и подтвердить наличие костной мозоли. Однако для определения формы и размера нароста используется процедура радиоизотопного сканирования. Во время его использования специальные меченые соединения вводятся в кровь или вводятся пострадавшему перорально. Затем пораженный участок сканируется сканером. Сканирование дает трехмерное изображение поврежденной костной ткани. Кроме того, меченые соединения, используемые в диагностике, обладают низкой радиоактивностью и не опасны для пациента.
Ложный сустав после перелома: лечение
Эффективное лечение данного вида патологии проводится исключительно хирургическим путем. Основная цель терапии — восстановление целостности поврежденной кости, а после лечения ложного сустава — его удаление.
Для устранения патологии применяется консервативное лечение и местная терапия. Местное лечение подразумевает хирургическое вмешательство. Это можно сделать так:
- Компрессионно-дистракционный остеосинтез;Постоянный остеосинтез;
- Пересадка кости.
- Тип лечебных мероприятий, применяемых для удаления ложного сустава и нормализации функции конечности, подбирается только индивидуально. При этом необходимо учитывать размеры костного отростка и особенности тела пациента.
Консервативное лечение включает мероприятия, направленные на повышение мышечного тонуса, а также на нормализацию обменных процессов и кровообращения в месте повреждения. К таким методам относятся:
Ложный сустав после перелома: консервативное
Физиотерапия;
- Массаж;
- Лечебная гимнастика.
- Магнитотерапия;
В качестве физиотерапевтического лечения ложного сустава, может применяться:
- Электрофорез;
- Ударно-волновая терапия;
- Грязевые покровы;
- Обработка кварца (UVA).
- Магнитотерапия — один из методов физиотерапевтического лечения.

Для достижения положительного результата терапию необходимо проводить систематически с использованием нескольких видов лечения. Минимальный курс лечения включает 10-12 процедур для каждого из выбранных физиотерапевтических процедур.
Во время операции отломки соединяются в естественном положении и фиксируются специальными давильно-отвлекающими устройствами. В терапии чаще всего применяется аппарат Илизарова. Он состоит из цилиндрической колонны металлических колец и штифтов, удерживающих их на месте, и набора спиц, прикрепленных к нему. Стойка размещается на внешней стороне травмированной конечности и обнимает ее, в то время как штифты прокалывают кожу, мышцы и костную ткань, позволяя костным фрагментам безопасно удерживаться в требуемом положении до полного заживления.
Компрессионно-дистракционный остеосинтез
Аппарат Илизарова применяется для лечения переломов костей голени и рук. При манипуляциях с установкой аппарата используется спинальная или общая анестезия.
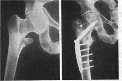
Лечение основано на использовании специальных пластин и фиксирующих винтов для фиксации сломанных костей. Этот метод используется для обеспечения правильного сращения костей после переломов плеча, бедра и других частей тела.
Устойчивый остеосинтез
Чтобы установить пластину, хирург должен полностью обнажить кость в месте перелома. Эта процедура проводится под общим наркозом.
Этот вид операции выполняется редко и предполагает искусственное наращивание кости с помощью различных имплантатов. Имплант может представлять собой кусок металла подходящей формы, часто сделанный из титанового сплава, или костную ткань, взятую из здоровой части тела.
Костная пластика
Костный трансплантат — это вариант лечения ложных суставов после перелома.

Этот вид манипуляции применяется для лечения ложного сустава, образовавшегося после перелома бедра, и других костных фрагментов с сильно раздробленными костями или большими промежутками между отломками.
Костный трансплантат проводится не ранее, чем через 8-12 месяцев после лечения ложного сустава, возникшего в результате перелома бедренной кости, голени или других частей тела.
После всех хирургических вмешательств конечность навсегда обездвиживается. Это позволяет поврежденным костям срастаться. Однако после снятия гипса или другой повязки, ограничивающей подвижность конечности, необходим реабилитационный период. В это время выполняется множество действий для восстановления мышечной функции и физической активности после длительного периода застоя.
Ложный сустав после перелома: реабилитация
Используемые реабилитационные меры включают:
Лечебная гимнастика;
- Массаж;
- Изометрические упражнения с постепенным увеличением нагрузки.
- В процессе реабилитации часто необходима консультация психолога. Полное выздоровление обычно наступает через 9-12 месяцев после начала реабилитационного курса.
Профилактические меры против развития ложного сустава после перелома заключаются в соблюдении всех рекомендаций врача. Также следует избегать нагружения поврежденных тканей после операции и до снятия фиксирующего пластыря. Важно не снимать гипс до заживления кости и не подвергать конечность нагрузке сразу после процедуры.
Ложный сустав после перелома: профилактика
В некоторых случаях после снятия гипса следует надевать ортопедическую повязку.