
Бронхит — распространенное заболевание с множеством причин, что связано с разнообразием его клинических симптомов. Часто бывает необходимо дифференцировать его от других, более серьезных заболеваний.
Для этого используются рутинные методы нейровизуализационного исследования, в частности флюорография и рентгенография, а также компьютерная и магнитно-резонансная томография, бронхоскопия. Эти методы не только показывают, как выглядит бронхит, и позволяют отличить его от других заболеваний, но и помогают контролировать его течение.
Рентгеновский снимок
Радиологический метод диагностики широко используется в клинической практике врачей. Выделяют несколько разновидностей этой методики: рентгеновская томография, бронхография, бронхокинематография, компьютерная томография. Однако самым простым и доступным является обычная рентгенография.
Есть несколько правил выполнения этой процедуры:
- Выполняется в положении стоя.
- Изображение должно охватывать всю грудную клетку (хорошо видны верхняя часть легкого и пазухи реберной диафрагмы).
- Он выполнен в двух проекциях (прямой и боковой).
Сначала делается обзорное изображение, а затем может быть сделано целевое изображение интересующей области легкого.
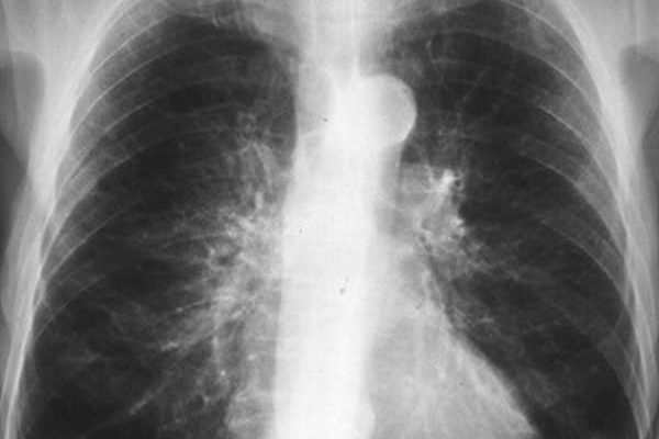
Простой острый бронхит на рентгеновских снимках не виден, визуализируется только обструктивная и хроническая длительная форма заболевания. Давайте рассмотрим примеры того, как выглядит бронхит на рентгеновских снимках:



На фото 1 и 2 показано, как выглядит бронхит на рентгеновских снимках, точнее, каковы симптомы заболевания:
- изменение размеров и структуры корней легких;
- размытость контуров;
- изменение картины легких (обычно усиление);
- Утолщение бронхиальной стенки при хроническом бронхите (симптом «трамвайных рельсов» — фото 3).

Рентген легких при обструктивном бронхите выглядит так:


Для бронхита с обструктивным синдромом характерны:
- повышенная воздухопроницаемость легких;
- низкая диафрагма;
- уплощение диафрагмы и ограничение ее подвижности;
- вертикальное расположение сердца.
При хроническом течении или частых рецидивах болезни бронхит может осложниться развитием эмфиземы:


Характерными симптомами эмфиземы на рентгеновском снимке являются:
- быки — тонкостенные воздушные полости различной формы;
- уменьшение или полное отсутствие сосудистого компонента.
Рентгенография легких — хороший диагностический метод, учитывая ее доступность и информативность.
Флюорография
Флюорография мало чем отличается от обычной рентгенографии. Это рентгенологическое исследование грудной клетки, при котором изображение переносится на пленку размером 5х5 см, 7х7 см или 10х10 см. Ключевое различие между этими двумя методами заключается в размере изображения, так как в случае стандартной рентгенографии изображение на изображении соответствует фактическому размеру грудной клетки. Методика выполнения процедуры не отличается от обычной рентгенографии, с той разницей, что флюорография проводится только в прямой проекции.
Этот метод специально разработан для выявления таких заболеваний, как туберкулез и рак. Уменьшение размера фотографий сделало его намного дешевле (в 6 раз больше стандартного), но в то же время значительно снизило информативность исследования.
По этой причине флюорография не выявляет бронхит, за исключением тяжелых хронических форм ХОБЛ. Бронхит не виден на флюорографии, потому что увеличенный сосудистый рисунок не может быть визуализирован на небольшом изображении.
КТ и МРТ
Компьютерная томография (КТ) и магнитно-резонансная томография (МРТ) — диагностические методы высокой информативности и дороговизны, поэтому их проводят в спорных и тяжелых случаях по строго определенным показаниям. При бронхите такими показаниями могут быть:
- дифференциальная диагностика со злокачественными новообразованиями, туберкулезом, инородными телами, профессиональными заболеваниями и другими более опасными патологиями;
- оценка объемаи степень продвижения изменения;
- диагностика осложнений и их локализация;
- оценка эффективности лечения.
Необходимость процедуры решается индивидуально, исходя из особенностей заболевания и состояния пациента.
Особенности МРТ:
- отсутствие радиационной нагрузки на организм;
- больше информации при исследовании мягких тканей;
- противопоказан при наличии в теле электронных устройств и металлических предметов.
Компьютерная томография проводится в специальной комнате. Пациента помещают на стол, который можно перемещать, проходя через специальное кольцо «Джентри». Он включает в себя рентгеновский аппарат, который быстро вращается вокруг пациента с заданным интервалом времени и делает большое количество снимков, создавая трехмерную проекцию определенной области тела. Вся информация отправляется на компьютер, и врач может детально изучить интересующую область в любой проекции и на любом уровне.

На фотографиях ниже вы можете увидеть, как выглядят легкие при бронхите на компьютерной томографии:


На этом фото хорошо видны признаки бронхита:
- утолщение бронхиальной стенки;
- бронхиальный застой со слизистыми пробками;
- уровень жидкости.

На фото № 10 бронхоэктатическая болезнь — одно из частых осложнений хронического бронхита. На фото показаны пузырьки и уровень жидкости в них.
Бронхоскопия
Бронхоскопия — это эндоскопическое исследование бронхов. Суть метода заключается в прямом исследовании просвета бронхов через введенный в них специальный зонд (рис. 2). Процедура проводится под наркозом, поэтому пациенты ничего не чувствуют. При бронхите может проводиться обследование для восстановления проходимости бронхов (удаление инородного тела, удаление полипов, опухолей и т. д.), Приема лекарств или биопсии.