Архивы за месяц Март, 2025

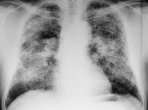
Каковы симптомы антракоза легких у шахтеров

Пневмокониоз — это классическое профессиональное заболевание, которое включает несколько разновидностей, в том числе пневмокониоз. Обычно, собирая анамнез и анамнез жизни, врач может поставить диагноз уже без результатов первичного обследования. Антракноз встречается у шахтеров, которые постоянно контактируют с углем. Как распознать болезнь на ранней стадии и избежать осложнений — об этом расскажет сегодняшняя статья. Общая информация …

Вывих фаланги пальца на руке или ноге

Вывих фаланги пальца Вывих фаланги — нарушение целостности сустава. Это происходит, когда головка кости смещается и выходит из вертлужной впадины. Вывихнутый палец может возникнуть как на руке, так и на стопе. Второй вариант гораздо менее популярен. Лечится вывих всегда только в условиях стационара, но стоит знать правила оказания первой помощи. Вывих фаланги пальца: причины Вывихи …

На что указывает цвет мокроты при пневмонии

Одним из основных клинических симптомов пневмонии является обильная мокрота, часто гнойного характера. Чтобы назначить наиболее эффективное лечение, анализ секрета трахеобронхиального дерева проводят в лабораторных условиях. В этой статье мы подробно обсудим специфику этого исследования, а также его эффективность и важность в диагностике пневмонии. Не забыли и примеры с фото. Как подготовиться к анализу? Важнейшую роль …

Этиология (причины) возникновения рака легкого

Рак легких считается наиболее распространенным видом рака, но его можно предвидеть и предотвратить. Это происходит по многим причинам, но наиболее распространенными являются воздействие табачного дыма, рабочая или домашняя пыль, а также некоторые сопутствующие заболевания. Их можно проследить в анамнезе большинства пациентов с раком легких, поэтому, чтобы избежать его развития, их воздействие на организм должно быть …

Ожог глаза после наращивания ресниц

Все чаще встречаются ожоги глаз после наращивания ресниц, и это может быть вызвано некачественными материалами, дешевым клеем или мастером без опыта. В погоне за красотой многие представительницы женского пола не могут устоять и хотят ощутить все дары современной косметологии. К сожалению, эти эксперименты могут закончиться не так приятно, как хотелось бы. В результате, покидая салон, …

Симптомы и лечение хламидийного бронхита у взрослых

Хламидийный бронхит — это воспаление слизистой оболочки бронхов, вызванное микроорганизмами Chlamydia pneumoniae. Скудная клиническая картина бронхита, постепенное затяжное начало, несоответствие тяжести поражения легкого симптомам представляют определенные диагностические трудности. Однако знание конкретных характеристик позволяет своевременно провести необходимые исследования и назначить правильное лечение. Причины появления у взрослых Хламидии — это микроорганизмы, которые обладают свойствами как бактерий, так …

Как правильно разводить марганцовку для обработки раны

Если есть рана, абсцесс или порез, важно, чтобы возбудители не попали в кровоток и не спровоцировали обширный воспалительный процесс. Для этого на рану наносится специальный антисептик, обладающий антибактериальным действием. Раствор марганца — один из старых, но очень эффективных методов дезинфекции ран, помогает устранить нарывы, абсцессы и воспаления. Марганцовка и ее свойства Перманганат калия — сильный …

Растяжение связок плечевого сустава

Растяжение связок плеча — это острое состояние, вызванное травмами и резкими движениями, которое начинается с ощущения боли. Без лечения осложнения включают тендинит, периартикулярное воспаление и бурсит. Напряженные связки плеча имеют удлинение и появление разрывов. Это может вызвать неинфекционное воспаление, когда вещества из пораженных тканей попадают в кровоток. Сущность растяжения связок и мышц плечевого сустава Плечевой …

Обследования на коронавирус: какие тесты существуют, кто обязан провериться, кому рекомендуется сдать анализ

В этой статье вы узнаете, кому нужно пройти отзыв о коронавирусах, как подготовиться к нему и где вы можете сделать это бесплатно. Какие диагностические тесты на коронавирус существуют сегодня Быстрый и определенный диагноз коронавирусной инфекции является гарантией эффективного лечения заболеваний. На практике только два разных типа испытаний в настоящее время применяются: по остаточным вирусным частицам …

Признаки повышенного сахара в крови

Раннее обнаружение симптомов гипергликемии (повышенного содержания сахара в крови) позволяет пациенту на раннем этапе обратиться за профессиональной помощью, поставить диагноз и выбрать правильную схему лечения. В большинстве случаев гипергликемия наблюдается при сахарном диабете (другие причины менее выражены), и достижение коррекции может предотвратить развитие осложнений и даже смерть. Какие симптомы повышенного сахара в крови говорят о …