Архивы за месяц Март, 2025

Как вылечить казеозную пневмонию

Туберкулезная пневмония (пневмония) — это самостоятельная форма туберкулеза легких, которая может быть как его первичным проявлением, так и осложнением других форм инфекции. Он характеризуется тяжелым, быстро прогрессирующим, специфическим течением, приводящим к разрушению паренхимы легких и образованию туберкулезных полостей из-за казуистически-неокулярного компонента воспаления. По статистическим данным, заболеваемость аспирационной пневмонией среди впервые выявленных больных туберкулезом составляет 3-5%, …

Симптомы и лечение пневмонии у взрослых

Пневмония или пневмония — опасное заболевание, характеризующееся тяжелыми симптомами, которые могут привести к осложнениям и требуют обязательной медицинской помощи, часто заканчивающейся госпитализацией. Такой диагноз пугает, и очень важно знать как можно больше о симптомах и лечении данной патологии, чтобы вовремя отреагировать на ее развитие, не приводя к серьезным последствиям. Признаки воспаления легких Это заболевание имеет …

Причины и методики лечения мелкоклеточного рака легких

Рак легкого — это собирательный термин для новообразований, различающихся по гистологической структуре и клинической симптоматике. Злокачественные новообразования располагаются в бронхах, бронхиолах и альвеолах. Немелкоклеточный рак легкого (SCLC) — это особый тип рака, который был выделен в отдельную группу только в начале 1970-х годов. Рак очень чувствителен к химиотерапии, но, если его не диагностировать на ранней …

Ожог жиром

Ожоги жира относятся к термическим травмам. Чаще всего при варке на кожу попадает горячее маслянистое вещество. Эти виды ожогов не представляют особой серьезности, но без надлежащего своевременного лечения они могут долго зажить. Поэтому важно знать, что делать при ожогах жира. Степени тяжести ожога Термические ожоги горячим жиром обычно относятся к некатегориальным повреждениям. Однако иногда могут …

Растяжение икроножной мышцы

Большинство людей ходят, бегают, ходят на цыпочках, прыгают и приседают исключительно автоматически и не задумываются дважды о том, что позволяет им делать это легко, свободно и почти без усилий. Пока не произойдет довольно неприятная и довольно болезненная травма — выкрутка икроножной мышцы. Вам придется забыть о беге, вы не сможете стоять на носках и будете …

Туберкулез у новорожденных и дошкольников от 3 до 7 лет

Агрессивное течение и быстрое прогрессирование без химиотерапии — отличительные признаки туберкулеза у маленьких детей. В этой возрастной группе больше всего осложнений и смертей. Туберкулез у новорожденных и младенцев очень опасен: он часто остается незамеченным родителями и не диагностируется врачами. Новорожденные и грудные малыши Клиническая картина туберкулеза легких в раннем возрасте не имеет четких диагностических критериев. …

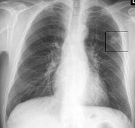
Диагностика рака легких с помощью рентгена, флюорографии и КТ

Рак легких является ведущей причиной смертности среди других видов рака. Причина в позднем обнаружении. Поэтому своевременной диагностике рака легких уделяется особое внимание. Несомненно, необходим комплексный подход к качественной и полной диагностике с использованием всех возможных методов исследования. Однако радиологические методы играют ключевую роль как в скрининге, так и в подтверждении диагноза. Например, флюорография чаще всего …

Натуральный животный продукт при лечении пневмонии — барсучий жир

Барсучий жир при пневмонии дополняет традиционные методы лечения. Кроме того, до недавнего времени это средство входило в состав народной медицины, которое очень активно применялось при пневмонии как у взрослых, так и у детей. Изучите эту статью, и вы узнаете, как применять барсучий жир для улучшения патологического процесса. А также прочтите скептицизм доктора Комаровского в видео …

Дыхание при бронхите: от чего бывают хрипы

Бронхит у взрослых — заболевание, которое может проявляться в различных клинических формах. Для каждой из форм характерны нарушения в работе дыхательных путей, проявляющиеся определенными особенностями дыхания и характерным изображением, полученным при аускультации легких. В этой статье мы расскажем об этих особенностях, остановившись на их проявлениях при некоторых формах этого заболевания, а также ответим на вопросы, …

Грудное вскармливание и бронхит

Бронхит относится к заболеваниям нижних дыхательных путей и представляет собой воспаление слизистой оболочки бронхов или всех слоев бронхиальной стенки. Может возникать как самостоятельное заболевание или как осложнение ОРЗ. Течение болезни у кормящих матерей осложняется тем, что многие лекарства противопоказаны при кормлении грудью (МВ). Лечение подбирается таким образом, чтобы польза для женщины перевешивала риск побочных эффектов …