Архивы за месяц Март, 2025

Что такое медиастинальная форма рака легких

Рак дыхательных путей является третьей по значимости причиной смерти в Европе. С каждым годом количество заболевших постоянно увеличивается. Рак средостения легкого — одна из редких, но очень опасных форм. Заболевание характеризуется быстрым ростом опухолевых клеток в органах средостения. Общая информация Рак легкого средостения — один из атипичных видов рака дыхательной системы. Для этого вида онкопатологии …

Первая помощь при ранах

Первая помощь при ранениях имеет свои особенности, которые зависят от этиологии и локализации. Поверхностные раны не опасны для жизни, и первая помощь заключается в наложении стерильной повязки. Проникающие раны также требуют большей ответственности, а неправильные действия могут стоить человеку жизни. Рекомендации по оказанию первой помощи и спасению жизни будут рассмотрены ниже. Поверхностная рана Этот тип …

Диагностика и лечение эозинофильной пневмонии (синдром Леффлера)

Эозинофильная пневмония (синдром Леффлера) — редкое заболевание у взрослых, при котором кровь и легочная ткань поражены эозинофилами. Они представляют собой серию гранулярных лейкоцитов, которые имеют двудольное ядро ​​и могут краснеть при воздействии специального вещества — эозина. Отсюда и название этого типа лейкоцитов. Выявить это заболевание можно только с помощью лабораторных исследований. В основном возрастной порог …

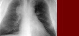
Организующаяся (криптогенная) пневмония

Криптогенная организующая пневмония (COP) — это идиопатическое заболевание легких, характеризующееся чрезмерным разрастанием грануляционной ткани в легких, блокированием просвета бронхов и альвеол, провоцирующим хроническое воспаление в прилегающих альвеолах. CUP относится к группе диффузных паренхиматозных заболеваний легких — облитерирующего бронхита с организуемой пневмонией. Термин «криптогенный» означает, что этиологический фактор развития заболевания неизвестен; это наиболее распространенная форма пневмонии. …

От чего зависит как долго лечится туберкулез

Продолжительность лечения туберкулеза легких зависит от формы и тяжести заболевания, а также от степени и локализации инфекции. Стационарное лечение обычно длится от нескольких месяцев до шести месяцев. Далее лечение продолжают амбулаторно на дому с обязательным наблюдением фитозиатра. Показания для госпитализации В больницах туберкулез легких лечат от нескольких месяцев до года, что зависит от формы, степени …

Огнестрельная рана

Огнестрельное ранение характеризуется массивным поражением тканей организма, а также резкой реакцией организма. Если не будет помощи, это может привести к летальному исходу. Лечение усугубляет развитие воспалительного процесса, а также затруднения в работе поврежденных внутренних органов. Правильно оказанная первая помощь может спасти человеку жизнь и свести к минимуму риск возникновения осложнений. Огнестрельная рана: Общая характеристика Характерной …

Можно ли курить при пневмонии

Каждый курильщик, столкнувшийся с пневмонией, задается вопросом, стоит ли ему продолжать курить. Казалось бы, ответ очевиден, но большинству людей, пристрастившихся к табачным изделиям, трудно сопротивляться, они подсознательно придумывают разные отговорки, чтобы потянуться за сигаретой. Фактически, курение не только вредит организму в целом, но и является предрасполагающим фактором и одной из основных причин пневмонии. Эта статья …

Зачем нужна проба Пирке

Тест Пирке на туберкулез используется для оценки наличия иммунитета против этого заболевания. Он основан на том, что после контакта организма с антигенами Mycobacterium tuberculosis, при наличии иммунного ответа развивается реакция гиперчувствительности замедленного типа. Этот тест широко использовался в СССР до 1960-х годов, затем его заменила реакция Манту. В настоящее время его применяют в отдельных случаях, …

Самые эффективные лекарства для лечения бронхиальной астмы

И ингалянты, и таблетки используются при фармакологическом лечении астмы. Одни из них снимают приступы одышки, другие используются для предотвращения и уменьшения частоты обострений болезни. В статье описаны основные группы препаратов от астмы и особенности их рецептуры. Медикаментозное лечение В глобальной стратегии лечения и профилактики астмы, разработанной учеными-медиками, используются несколько групп препаратов: Бронходилататоры — расширяют просвет …

Лихорадка у детей

Лихорадка возникает при повышении температуры тела выше нормы. Нормальная температура составляет около 37 градусов по Цельсию. Повышенная температура помогает иммунной системе организма бороться с инфекцией и сама по себе не означает, что ваш ребенок серьезно болен. Детей в возрасте до 3 месяцев с температурой выше 38 градусов и детей в возрасте от 3 до 6 …