Архивы за месяц Март, 2025

Пневмония у взрослых: питание и режим

Лечение и реабилитация пневмонии — задача не из легких. Помимо лекарств, существует несколько правил, которые помогут организму быстро восстановиться: здоровый образ жизни, лечебная физкультура и диета. В этой статье мы более подробно остановимся на диете, узнаем, как правильно выбрать диету при пневмонии, рассмотрим лечебные таблицы и многое другое. Зачем нужна диета при воспалении легких? Если …

Ожог уксусной кислотой

Уксусная кислота широко используется в бытовых целях. Попадание вещества на кожу или другие части тела вызывает ожоги. Последствия травмы зависят от степени повреждения. Немедленная помощь приводит к тяжелым симптомам, а тяжелые поражения могут быть фатальными. Как лечить ожог уксусной кислотой и какие первые шаги при контакте с этим раствором? Ожог уксусной кислотой: патогенез Причина ожогов …

Вывих шейного позвонка у ребёнка

Из всех травм позвоночника наиболее опасными являются растяжения и вывихи шейных позвонков. Несмотря на то, что на первый взгляд эта ситуация может показаться не такой серьезной, ее последствия иногда бывают весьма плачевными. Часто травма сопровождается смещением и даже переломом отдельных сегментов. Более того, в некоторых случаях диагностируется травма спинного мозга, которая уже заканчивается летальным исходом. …

Что нужно знать о лечении застойной (гипостатической) пневмонии

Гипостатическая или застойная пневмония — пневмония вторичного типа. Специфика этого воспалительного процесса и его отличие от первичной пневмонии — обострение соматических недугов. То есть патология развивается у пациентов, предрасположенных к заболеваниям дыхательной системы, а также у пациентов, длительное время лежащих на кровати. Классификация по МКБ-10 Согласно Международной классификации болезней Десятого Конгресса, гипостатическая пневмония — это …

Описание основных методик проведения массажа при бронхиальной астме

Астма — хроническое заболевание, которое нельзя полностью вылечить. Однако не стоит рассматривать это заболевание как приговор: создано большое количество терапевтических схем, в которые входят лекарства, лечебная гимнастика и физиотерапия. Дополнительно специалисты применяют лечебный массаж, положительно влияющий на организм пациента. Какие техники массажа существуют и всегда ли их можно использовать? Общая информация Массаж груди дополняет реабилитацию …

Что такое бронхит у детей

В 10-й редакции Международной классификации болезней (МКБ-10) бронхит перечислен в разделе J20-J42. Эта статья объяснит, что такое бронхит у детей и как его лечить, а также его основные симптомы. Классификация Бронхит — заболевание достаточно хорошо изученное. Они делятся по многим характеристикам, но не все существующие классификации имеют клиническое значение. В зависимости от характера течения болезни …

Почему важно начать лечение пневмонии у беременной женщины

Пневмония (или пневмония) у беременных — это заболевание, которое ставит под угрозу здоровье матери и плода и ставит под сомнение успешность рождения ребенка. Если своевременно не начать лечение, существует риск выкидыша на ранних стадиях развития плода, а также возможность преждевременных родов в третьем триместре. Поэтому важно не только своевременно посетить врача, но и знать, какие …

Какие существуют способы определения рака легких

Рак легкого часто протекает бессимптомно — у пациентов долгое время не бывает кашля, одышки, боли или других недугов. Характерные симптомы появляются, когда заболевание уже запущено. Для ранней диагностики и определения степени прогрессирования патологии необходимо знать особенности симптоматики, характерные черты кашля и одышки при опухолевых заболеваниях. Симптомы на ранних стадиях Развитие злокачественных новообразований легких проходит в …

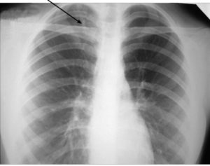
Снимки легких при туберкулезе

С момента открытия рентгеновских лучей (рентгеновских лучей) он активно внедряется во все области медицины, и фтизиология не является исключением. Поскольку легкие у больных туберкулезом имеют отличительные особенности, радиологические методы стали применяться для диагностики, наблюдения за динамикой процесса и профилактики. Перечень визуализационных методов исследования Для диагностики туберкулеза используются следующие анализы: флюорография; Рентгеновская радиография; компьютерная томография (КТ). …

Симптомы, диагностика и лечение туберкулезной интоксикации

Туберкулезное отравление — это форма первичного туберкулеза легких, предшествующая развитию локальных очагов инфекции. Сопровождается нарушением функции различных органов и систем, ухудшением общего самочувствия и самочувствия. Развитие туберкулезного отравления чаще фиксируется в детском и подростковом возрасте. В зависимости от длительности течения и выраженности симптомов выделяют 2 формы туберкулезного отравления: Ранняя форма — патологический процесс развивается впервые …