Архивы за месяц Апрель, 2025

Солнечный ожог

Солнечный ожог — поврежден высокой степенью ультрафиолетового излучения, требует срочного внимания и терапевтического ухода, а масло для загара может помочь. На самом деле изменение цвета кожи — это вовсе не украшение, а скорее защитная реакция, свидетельствующая о повреждении кожи. В небольших количествах солнечный ожог полезен, потому что тренирует иммунные клетки организма. Кроме того, умеренное пребывание …

Хронический облитерирующий бронхиолит у детей и взрослых

Бронхиолит — тяжелая патология дыхательной системы. Часто развивается у детей в возрасте до одного года. Ежегодно во всем мире регистрируется 150 миллионов случаев этого заболевания, которое может быть острым или хроническим. Облитерирующий бронхит — это заболевание, которое сопровождается нарушением воздушного потока в дыхательных путях, что ухудшает прогноз. Общая информация Бронхит — воспалительная патология дыхательных путей, …

Как по анализу крови установить пневмонию

Во избежание серьезных осложнений необходимо своевременно поставить полную диагностику и вовремя начать лечение. Метод лечения подбирается исходя из состояния пациента, клинических симптомов заболевания и результатов диагностики. Давайте подробнее рассмотрим один из важнейших лабораторных тестов, необходимых как для диагностики, так и для оценки состояния пациента — анализ крови. Общий Если у взрослого подозревается пневмония, пациенту всегда …

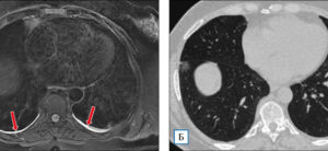
Как развиваются и распространяются метастазы при раке легкого

Метастазы — это вторичные разрастания, вызванные перемещением раковых клеток из первичного очага. При раке легких метастазы чаще встречаются на поздних стадиях. Возникновение метастазов считается прогностическим фактором. Ожидаемая продолжительность жизни при раке легких с множественными метастазами в регионарные лимфатические узлы и внутренние органы составляет менее двух лет. Общая информация Метастазы — это дочерние опухоли, которые образуются …

Что противопоказано и как жить с бронхиальной астмой

Бронхиальная астма — хроническое комплексное заболевание. Многие пациенты воспринимают это как приговор. Однако при правильном поведении и лечении астматики ведут полноценный образ жизни. В статье рассказывается о том, что можно, а что нельзя таким пациентам, как улучшить качество их жизни. Общая информация Астму нельзя вылечить, но вы можете улучшить качество жизни пациента и жить полноценной …

Как делать расслабляющий массаж воротниковой зоны ребенку

Массаж воротниковой зоны ребенку Массаж зоны ключицы у ребенка помогает уменьшить отечность и накопление солей, что предотвращает развитие болей в спине, плечах и голове. В детстве его назначают как по показаниям, так и с профилактической целью. Несложные приемы помогают сделать это дома. Показания для массажа В профилактических целях массаж воротниковой зоны способствует обильному притоку крови …

Ушиб мизинца на ноге

Никто не застрахован от травм такого типа. Ушибленный розовый палец вызывает резкую боль и множество неприятных моментов. Не позволяйте процессу заживления идти сам по себе, это может привести к серьезным последствиям. Особенности строения мизинца Этот палец имеет довольно сложное строение. Наиболее подвержены травмам мелкие кости и тонкие сухожилия. Ногтевая пластина небольшого размера, а значит, может …

Принципы дифференциальной диагностики пневмонии

Пневмония имеет серьезные симптомы и может привести к серьезным осложнениям и даже смерти. По этой причине очень важно своевременно обратиться к врачу для постановки диагноза и постановки точного диагноза. Диагностика наиболее важна при лечении болезни, поскольку существует множество патогенов. Успех лечения зависит от результатов диагностики. Симптомы и критерии воспаления легких у взрослых Клиническая картина заболевания …

Лучшие лекарственные травы и сборы от бронхита у взрослых

Комплексное лечение бронхита предполагает использование различных лекарственных трав, компонентов природного происхождения. Травы подбираем сами с учетом проверенных рецептов, либо покупаем в аптеке готовый сбор от бронхита. При использовании таких мер всегда необходимо учитывать противопоказания к их применению. Лечебные сборы и настои При бронхите травы применяют самостоятельно или в составе многокомпонентного сбора. Из растений получают отвары, …

Что такое посттравматическая пневмония

Травматическая пневмония (ТПН) — воспаление легких, развивающееся в результате травмы грудной клетки. В этом случае воспалительный процесс в легких развивается как осложнение травмы (вторичная пневмония), так как создает благоприятные условия для размножения микроорганизмов. Согласно МКБ-10 травматическая пневмония имеет код J09-J18. Этиология и патогенез В развитии травматической пневмонии, как и любой другой пневмонии, основное место занимают …