Архивы за месяц Апрель, 2025

Какие последствия и осложнения могут быть после прививки БЦЖ у ребенка

С увеличением заболеваемости туберкулезом наблюдается небольшое увеличение осложнений после вакцинации БЦЖ. В общем количестве проведенных прививок в среднем регистрируется 1,2% осложнений. Побочные реакции после ревакцинации отмечаются в 0,003% случаев. Почему после вакцинации возникают побочные эффекты? Новорожденные получают первую прививку от туберкулеза в роддоме. Нередко после манипуляции развиваются реакции на БЦЖ. Они проявляются следующими изменениями: Гиперемия …

Лечение стафилококк и стрептококк пневмонии у ребенка

Многие родители слышали о таком коварном заболевании, как пневмония, но далеко не все способны точно распознать ее у своего ребенка, ведь болезнь часто «маскируется» различными симптомами простуды. Далее в статье мы расскажем о том, что такое пневмония у ребенка, как она проявляется и как ее эффективно лечить. В частности, мы рассмотрим бактериальную причину заболевания, что …

Показатели сахара в крови при диабете 2 типа

Диабет является функцию поджелудочной железы, патология, характеризующаяся отсутствием его участия в углеводном обмене. В зависимости от механизма формирования болезни, два типа диабета различают: инсулин депозиты и insulinonound. Сахарный диабет 1 типа сопровождается неспособностью экспрессии Langerhansa-Соболев поджелудочной железы производить достаточное количество гормонально активного вещества — инсулин, который участвует в распределении глюкозы. Болезнь типа 2 характеризуются пониженной …

Норма билирубина в крови (общий, прямой, непрямой), причины повышения и снижения

В этой статье вы узнаете, что крови тест показывает наличие билирубина, каковы стандарты в зависимости от возраста причин дефицита и избытка и как лечить нарушения. Билирубин: что это значит? Билирубин в крови является суммой прямых и косвенных фракций билирубина, характеризуемой функцией печени, скорость гемолиза эритроцитов, определяет наличие препятствий в желтом оттоке. Когда концентрация билирубина в …

Cестринский уход при бронхиальной астме у детей

Есть группы детей с высоким риском развития астмы. Чтобы не допустить развития патологии, разработаны специальные меры профилактики. Если диагноз заболевания уже поставлен, следует предотвратить рецидивы и осложнения. В этой статье рассказывается, как предотвратить и замедлить развитие астмы. Виды профилактика Первичная Первичная профилактика бронхиальной астмы у детей направлена ​​на предупреждение развития болезни. Пренатальные вмешательства проводятся для …

Ожог ноги кипятком

Обжиг стопы кипятком — серьезная травма. Умение оказать первую помощь в таком случае необходимо каждому. Любой ожог паром или кипящей водой — это бытовая травма, которая возникает по разным причинам. Как правильно лечить? Прежде чем приступить к оказанию первой помощи, необходимо определить степень ожога — от этого зависит лечение. Выделяется 4 степени ожогов, для каждой …

Причины и механизмы развития гнойного бронхита

Гнойный бронхит — воспалительное поражение слизистой оболочки (эндобронхит) или всех бронхов (панбронхит) большого, среднего и малого калибра, характеризующееся выделением и оттоком гнойного экссудата. Заболевание может быть острым или хроническим. Этиология чаще бывает вызвана бактериальной инфекцией. Основными симптомами гнойного бронхита являются влажный кашель, выделение и выделение густой желтоватой или зеленоватой мокроты, повышение температуры тела и одышка. …

Ушиб ногтя на руке

Ушиб ногтя на руке: информация Ушиб ногтя на ноге — довольно частая травма. Есть много способов получить такую ​​травму, поэтому предугадать эту точку практически невозможно. Ушиб пальца приводит к появлению гематом под ногтевой пластиной, которые в месте травмы имеют сине-черный цвет. Самая серьезная травма — это поражение, нарушающее кровообращение, в результате чего ушибленный ноготь начинает …

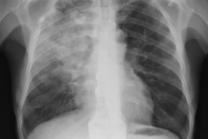
Может ли пневмония развиться на фоне ангины или ларингита

Заболевания верхних дыхательных путей включают как распространенный ринит (например, насморк), так и назофарингит или тонзиллит. Эти патологии при неправильном лечении могут привести к множеству осложнений. Затяжное течение основного заболевания, особенно пешего, сопровождающееся ослабленным иммунитетом, стрессами и неправильным питанием, приводит к обострению патологии и развитию воспаления в легких (пневмонии). Виды заболеваний верхних дыхательных путей Заболевания верхних …

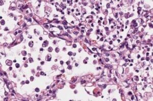
Чем страшна вентилятор-ассоциированная пневмония (ВАП)

Аппарат ИВЛ — незаменимый помощник при тяжелых респираторных заболеваниях, в том числе пневмонии. Интубация трахеи — это одновременно и помощь, и стандартная процедура при нарушениях дыхания. При длительном применении (не менее 48 часов) риск заражения пациента микрофлорой медицинского учреждения с развитием вентилятор-ассоциированной пневмонии (ВАП) достигает 8-28%. Это составляет от 10% до 50% смертей среди пациентов …