Архивы за месяц Апрель, 2025

Как вылечить коронавирус в домашних условиях

В этой статье вы узнаете, когда инфекция коронавируса можно лечить дома, что может делать врачи и какие терапевтические диаграммы. Лечится ли коронавирус дома? Прежде всего, в соответствии с постановлением Министерства здравоохранения Российской Федерации (Интернет-правовой информационный портал), пациент от коронавируса можно лечить в домашних условиях, если у него есть возможность полностью изолировать от других (по крайней …

Причины и лечение диффузного эндобронхита

Диффузный бронхит — это воспаление стенки бронха, которое поражает только слизистую оболочку (эндобронхит) или все слои (панбронхит). Воспаление поражает все бронхи, начиная от альвеол в легких и заканчивая бронхами первого и второго порядка. Диффузный бронхит может быть первичным или вторичным. В первом случае патологические изменения вызваны инфекционными факторами и неблагоприятными факторами внешней среды (курение, плохая …

Золотой ус при диабете 2 типа

Потенциал многих лекарственных растений позволяет успешно использовать их в комплексном лечении диабета типа 2. Природные лечебные средства хорошо зарекомендовали себя, и, хотя они не могут полностью заменить лекарства и диету, их можно успешно использовать в качестве дополнительной терапии. Одна из таких трав — золотой ус (также известный как каллизия душистая). Химический состав этого растения позволяет …

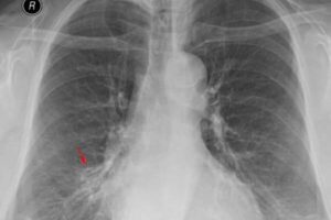
Спайки и другие изменения после пневмонии у взрослых

Плеврально-диафрагмальные спайки — это разросшаяся соединительная ткань между серозными оболочками плевральной полости (ткань, покрывающая стенки грудной клетки и легких). Образования в легких могут быть единичными или множественными. Часто остаточные изменения являются результатом перенесенной пневмонии. В медицине у них есть другие названия — синехии, легочные заболевания или спайки. Общее количество швартов иногда даже приводит к полному …

Отек при растяжении

Отек вызывается скоплением жидкости в тканях и развитием воспаления. Отек свидетельствует о нарушении микроциркуляции и сопровождается рядом неприятных симптомов. В случае растяжения связок верным признаком будет отек, и важно знать, как правильно от него избавиться. Почему возникает отек после растяжения Стягивание связок вызывается резкими движениями во время физических нагрузок, игр и занятий спортом. Это может …

Почему у ребенка в возрасте 1, 2 и 3 года возникает бронхит

Бронхит — это воспаление слизистой оболочки трахеи и бронхов, чаще всего инфекционного характера, сопровождающееся гиперпродукцией секрета бронхиальных желез. Это одно из самых распространенных респираторных заболеваний. Бронхит встречается во всех возрастных группах. Чаще болеют маленькие дети в возрасте 1, 2 и 3 лет и течение болезни тяжелее, чем у взрослых. Классификация Согласно Международной классификации болезней 10-го …

Жидкость в локтевом суставе под кожей после ушиба

Каждый из нас легко помнит, как локоть ощущается, как будто его ударило током, когда он внезапно, даже не слишком сильно, ударяется об острую поверхность. Ощущения неприятные, но они приходят довольно быстро и в большинстве случаев не имеют последствий. Другое дело, когда тебе наносят сильный удар. Вы ошибаетесь или бьетесь качелями о дверную коробку или стену. …

Все о вирусной пневмонии у детей

Вирусная пневмония считается распространенным детским заболеванием. Это вызвано различными вирусами. Воспаление распознается быстро, потому что клиническая картина ясна. Однако, если вовремя не диагностировать его, велик риск серьезных осложнений. К счастью, при правильной терапии вероятность отрицательного результата сильно снижается. Отличие от других видов Пневмония различается по типу возбудителя и бывает: вирусной, бактериальной, грибковой и смешанной. Проникновение …

Почему дети часто болеют трахеобронхитом

Трахеит — воспалительное заболевание дыхательной системы, поражающее бронхи и трахею. Не все родители знают, что это такое, но заболевание встречается довольно часто. Ежегодно им страдает около 5% взрослого населения. Точную заболеваемость в педиатрической категории установить сложно, поскольку дети часто переносят респираторные инфекции, многие из которых клинически схожи с трахеобронхитом. По мнению опытных специалистов, эта патология …

Меры профилактики бронхита у взрослых

Профилактика — это комплекс мероприятий, направленных на предотвращение развития заболевания или его осложнений. Профилактика бронхита у взрослых необходима не только для предотвращения заболевания, но и для снижения вероятности его перерастания в более тяжелые формы или присоединения осложнений. В зависимости от цели профилактики различают ее виды: первичную и вторичную. Они, в свою очередь, делятся по ориентации …