Архивы за месяц Апрель, 2025

Формы первичного туберкулезного комплекса у детей и подростков

Первичный комплексный туберкулез (ПТС) — одна из клинических форм туберкулеза с определенной триадой. Это характерно только для первичной формы туберкулеза: очаг казуистического воспаления в легком или другом органе с перифокальной тканевой реакцией, вовлекаются соседние лимфатические узлы и соединяющие их воспаленные лимфатические узлы. Первичный туберкулез, согласно Международной классификации ICD-10, имеет код A 16.7. Патогенез начальной формы …

Мазь от растяжения мышц и связок

Мазь от скручивания мышц и связок помогает быстрее восстановить поврежденные мелкие сосуды. В то же время он обладает обезболивающим действием. Важно использовать мазь для быстрой регенерации и заживления мягких тканей, ускорения рассасывания, уменьшения отеков и устранения синяков. Мазь от растяжения мышц: классификация видов В начальной фазе при растяжении связок и мышц необходимо использовать противовоспалительные и …

Редкий возбудитель пневмонии – клебсиелла (фридлендеровская палочка)

Klebsiella pneumoniae — одна из немногих причин пневмонии. Klebsiella pneumoniae также называют палкой Фридлендера в честь немецкого ученого, который первым выделил эту культуру. Из всех возбудителей пневмонии клебсиелла встречается довольно редко и имеет специфические симптомы. В этой статье будут обсуждаться биологические свойства фридлендера, способ передачи бактерий, их лечение и их стандарты в биологических средах. Биологические …

Ушиб селезенки

Ушиб селезенки — очень опасная травма с тяжелыми последствиями. В анатомическом отношении этот орган достаточно хорошо защищен от внешних факторов, что, однако, не защищает его от травм в результате сильных ударов. Несчастные случаи с травмой селезенки распространены и затрагивают как взрослых, так и детей. Чтобы патологические изменения органа не привели к серьезным осложнениям, необходимо знать, …

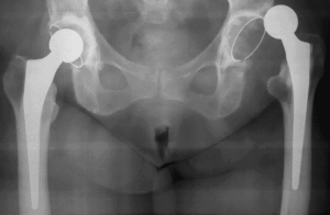
Вывих эндопротеза тазобедренного сустава

Вывих эндопротеза тазобедренного сустава Вывих бедра — редкая и неприятная патология, возникающая по разным причинам. Лечение в этом случае может быть консервативным или хирургическим. Все зависит от характера вывиха и самочувствия пациента. Вывих эндопротеза: причины По статистике вывих эндопротеза чаще диагностируется у представителей женского пола, чем у представителей мужского пола. В группу риска также входят …

Растяжение мышц бедра

Растяжение мышц бедра является следствием перегрузки конечности, при которой неподготовленные мышечные волокна быстро растягиваются. Они образуют микротрещины, вызывающие острую боль и ограничение подвижности. Этому человеку требуется комплексная медицинская помощь, правильность которой обеспечивается скоростью реабилитации. Подвижность бедренной части обеспечивается тремя типами мышц: Задние бедра — участвуют в процессе разгибания бедер. Передняя часть бедер — способствует сгибанию …

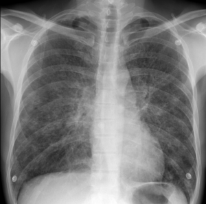
Первые симптомы пневмонии у детей 1, 2 и 3 лет

Пневмония сопровождается характерными изменениями в легких, которые видны на рентгеновских снимках. Если болезнь вовремя не диагностировать и не лечить, она может закончиться плачевно. Пневмония довольно часто встречается у детей, особенно в сезон сезонного гриппа. Маленькие дети, особенно до трех лет, находятся в зоне риска. Всем родителям будет полезно знать, каковы начальные симптомы, чтобы определить начало …

Виды рентгена при пневмонии у детей

Рентген — это современный способ диагностики многих респираторных заболеваний. Часто это важно при диагностике пневмонии у детей. Современные медицинские клиники используют рентген для определения типа и стадии воспаления в легких, что дает возможность назначить более точное и эффективное лечение. Во многих случаях можно обойтись без рентгена. Например, при безобидной экологической пневмонии не всегда целесообразно подтверждать …

Как отличить вирусную пневмонию от бактериальной

Пневмония или пневмония — это острое инфекционное заболевание, поражающее различные части легких и нижние дыхательные пути (бронхи и трахею). В этой статье мы кратко обсудим бактериальные и вирусные пневмонии, их основные различия в симптомах и лечении. Отличия заболеваний Бактерии и вирусы — одни из наиболее частых причин пневмонии. Несмотря на то, что общая картина течения …

Опасная форма заболевания легких — кавернозный туберкулез

от нескольких миллиметров до 20 см и более. Чаще всего диагностируются дефекты диаметром от 2 до 4 см. Что это такое? Течение кавернозного туберкулеза не отличается яркими симптомами, образование полостей в легких — процесс медленный. Клиническая картина определяется исходной формой заболевания, а также расположением и размером полостей. Чем больше полость, тем более выражены симптомы. В …