Архивы за месяц Апрель, 2025

Реабилитация больных после туберкулеза

Реабилитация после туберкулеза направлена ​​на восстановление работоспособности различных органов и систем после изменений, вызванных инфекцией. Мероприятия включают санаторно-курортное лечение, социальную и профессиональную адаптацию человека. Грамотные реабилитационные мероприятия очень важны для предотвращения рецидива. Этапы реабилитации Реабилитация после перенесенного туберкулеза легких проходит в несколько этапов. Оно включает: восстановление физиологических функций различных органов и систем; социальная и профессиональная …

Какие есть особенности симптомов пневмонии у детей

Пневмония — заболевание, которое атакует независимо от возраста. Инфекция нередко происходит еще в утробе матери. Его необходимо лечить в стационаре под наблюдением врача. В этой статье мы рассмотрим различия в течении, симптомах и лечении у детей разного возраста. Мы не будем углубляться в каждую тему, для этого мы предоставим ссылки на другие конкретные статьи. Типичные …

Cпособы, которые помогут повысить иммунитет при туберкулезе

Помимо устранения возбудителей инфекций, комплексное лечение туберкулеза должно включать дополнительные меры. К ним относятся диетические рекомендации, прием лекарств, которые модулируют иммунную систему, и защиту печени от токсического действия противотуберкулезных препаратов. Успех терапии во многом зависит от сопутствующей терапии. Особенности иммунной системы во время лечения После попадания микобактерий в организм человека не всегда развивается патологический процесс. …

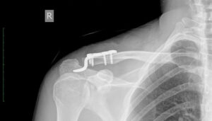
Акромиальный конец ключицы

Повреждение плечевого конца ключицы — очень частая травма, возникающая в результате падения или неудобного движения во время тренировки. Ключица — одна из относительно незащищенных и хрупких костей в человеческом теле, и для ее повреждения или вывиха не требуется больших усилий. Классификация и причины возникновения Гиппократ уже описал травмы плеча и различал внешний (акромиальный) и внутренний …

Симптомы, лечение и диагностика диссеминированного туберкулеза легких

Диссеминированный туберкулез (код 10 A19 по МКБ) — это инфекционный процесс, характеризующийся образованием множественных туберкулезных вспышек в легких, а иногда и в других органах. Чтобы вовремя начать эффективное лечение, важно знать первые симптомы заболевания, описанного в этой статье, и вовремя обращаться к врачу. Это позволяет вылечиться и избежать осложнений. Формы поражения легких Диссеминированный гематогенный туберкулез …

Растяжение брюшных мышц

Напряжение мышц живота — это травма, которая влияет на внутреннюю структуру мышц живота. Когда ставится этот диагноз, у пациента возникает разрыв или растяжение мышечных тканей. В подавляющем большинстве случаев такие травмы могут вызывать дискомфорт. В этой ситуации растяжения живота — это травмы мышечных волокон боковых, передних или задних мышц брюшины, которые покрывают область между верхним …

Смерть от рака легких

Рак легких — это собирательный термин, включающий все типы рака легких. Этот вид онкологической патологии часто встречается у мужчин, имеющих в анамнезе вредные привычки (курение) и регулярный контакт с отравленными отношениями (профессиональный вред). Без лечения по мере увеличения опухоли, появления отдаленных метастазов человек умирает. Из-за нехватки кислорода ткани либо погибают, либо перестают работать в необходимой …

Виды нарушений дыхания при пневмонии

Симптоматика пневмонии довольно разнообразна. Больные жалуются на кашель, повышение температуры тела, большое количество мокроты, боли в груди при кашле. Однако отметим и другие общие клинические симптомы, на которые жалуются пациенты — это различные виды нарушений дыхания, одышка и дыхательная недостаточность, о которых мы подробнее расскажем в нашей статье. Классификация нарушений дыхательной функции Здоровый человек выполняет …

Реакция на прививку БЦЖ

Вакцинация БЦЖ и ревакцинация проводятся во многих странах мира, поскольку вакцинация снижает смертность и предотвращает развитие тяжелых форм детского туберкулеза, связанных с распространением микобактерий в крови. Отличить правильный ответ на БЦЖ от патологического — один из актуальных вопросов в теме иммунизации детей. Родители должны знать об особенностях поствакцинального периода, чтобы не путать нормальный поствакцинальный ответ …

Определение и особенности центрального рака легких

Рак среднего легкого (CLC) — наиболее распространенная форма рака легких. Выявляется в 70% случаев. Ранние стадии РГК имеют клинические симптомы, типичные для других бронхолегочных заболеваний, поэтому чаще всего выявляются на 4 стадии. В статье рассматриваются симптомы, являющиеся поводом для обращения к врачу, методы диагностики и лечения ССВ. Общая информация и код МКБ 10 Рак среднего …