Архивы за месяц Апрель, 2025

Лечение прикорневой пневмонии у детей

Высокая восприимчивость детей к различным инфекционно-воспалительным процессам является следствием их слабого и неразвитого иммунитета. Одна из самых опасных патологий — бронхопневмония. Заболевание коварное, ведь вовремя поставить диагноз сложно, так как воспаление находится в необычном месте — в корне легкого. Как протекает патология, как распознать первые симптомы? Узнайте об этих и других функциях в этой статье. …

Отек при переломе руки

Опухание руки почти всегда вызвано переломом. Однако отек поврежденной конечности появляется не только после перелома, но часто и после снятия гипса. Однако, чтобы рука оправилась от травмы, необходимо бороться с отеком, так как длительный отек тканей может привести к развитию серьезных осложнений. Причина отека после перелома Отек тканей возникает в результате поражения определенных участков кровеносной …

Лечение деструктивной пневмонии у ребенка

Детская деструктивная пневмония — это очаговая или эмболическая форма пневмонии, характеризующаяся некрозом и гнойным выпотом легочной ткани. По статистике, детские заболевания составляют 10% от общего числа пневмоний. Помимо стафилококковой инфекции, вызывающей заболевание в 30% случаев, болезнь провоцируют вирусы гриппа (до 50%) и пневмококки (25%). Особенности Характерным признаком деструктивной пневмонии является образование полостей в легочной ткани. …

Способы профилактики бронхиальной астмы

Профилактика бронхиальной астмы может предотвратить развитие болезни у детей и взрослых из группы высокого риска. Это также помогает предотвратить ухудшение вашего здоровья и прогрессирование болезни. Общая информация Бронхиальная астма — гетерогенное заболевание, возникновение которого определяется взаимодействием генов. Многие факторы окружающей среды, как биологические, так и социологические, могут играть важную роль в развитии болезни. К ним …

Характерные признаки и симптомы бронхиальной астмы

Симптомы Астма — хроническое заболевание, при котором обострения чередуются с периодами ремиссии. Помимо обострений заболевания, клинических симптомов может не быть. Первые симптомы, позволяющие заподозрить обострение астмы, включают: Сильный сухой кашель с небольшим количеством липкой стекловидной мокроты, выделяемой в конце приступа; Частое затрудненное дыхание (особенно в фазе выдоха); хрипы, сухой свистящий звук даже на расстоянии. Характерный …

Сколько длится температура и кашель после пневмонии у ребенка

Если после лечения пневмонии симптомы дискомфорта не исчезнут, важно обратить на них внимание. В этой статье мы рассмотрим остальные симптомы (и те, которые не принимаются во внимание), которые возникают после перенесенной пневмонии. Наиболее частыми из них являются субфебрильная температура и остаточный кашель. Сколько длится и почему не проходит кашель? Кашель у детей возникает из-за купирования …

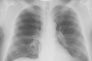
Причины и лечение нейроэндокринной карциномы (мелкоклеточного рака) легких

Нейроэндокринный рак легкого (NERLC, NELC) относится к сложной и чрезвычайно разнородной категории злокачественных новообразований эпителия, в том числе рака различной степени дифференцировки. В эту группу онкологических заболеваний входят типичные и атипичные карциноиды, а также крупноклеточные и мелкоклеточные опухоли. Общая информация Нейроэндокринные новообразования легких и бронхов составляют 27% всех вариантов SEO, занимая второе место по частоте …

Применение электрофореза при бронхите

Физиотерапия — это лечение тела с помощью физических средств, таких как движение, тепло, свет и лучистая энергия и вода. Физиотерапия при бронхите у взрослых включает ряд сложных процедур, которые используются либо поочередно, в несколько курсов, либо одним курсом (монокурс). Взрослым пациентам обычно назначают комбинированное лечение: фармакологическое — применение лекарственных препаратов, комбинированное с дополнительными мероприятиями — …

Развитие пневмонии на ИВЛ

Вентиляция, или искусственная вентиляция легких, — это экстренная процедура искусственного дыхания и газообмена в легких. Вентиляция также используется при тяжелых формах пневмонии, когда дыхательная недостаточность достигает пика и у пациента развивается гипоксия. Иногда, наоборот, пневмония развивается как вторичное заболевание на фоне использования искусственной вентиляции легких, например, после операции. Воспаление из-за искусственной вентиляции легких Хотя искусственная …

Мидокалм в уколах: от чего помогает препарат, инструкция по применению, показания, противопоказания, побочные эффекты

Midocalm инъекции, как таблетка, эксплуатации centrifold смешивания агента из группы aminocetone. Согласно инструкции по применению, MIDOCALM инъекционного раствора оказывает защитное действие, способное пережить болевой синдром, мышечные hypertones, пострадавших от неврологических симптомов и дистонии, не затрагивая весь ОУН. Поскольку MIDOCALM ВПРЫСКА предназначен для внутримышечного или внутривенного действия, не раздражает желудок и слизистую оболочку кишечника, почти сразу …