
Флюорография — это традиционная рентгенографическая диагностический метод, который, хотя устаревший все еще используется в современной медицине.
Исследование включает в себя фотографирование изображения на матрице для обнаружения воспалительного процесса. Флюориграфия помогает увидеть симптомы заболевания, его местоположения и характера.
Эта техника, однако, не всегда эффективна, должна быть понята, когда разбирательство неоправдано и стоит достичь других видов диагностических агентов.
Типы диагностики: альтернативные методы
Технология рентгеновской сканирования основана на том факте, что ткани, в зависимости от их плотности, поглощают излучение с различной интенсивностью.
По этой причине на отрицательной рентгеновской фотографии, плотные районы будут белыми, пустыми черными и серыми органами (от ярко-темных).
Что такое флюорография и то, что отличается от рентгеновских фотографий в диагностике респираторных заболеваний?
Флюорография и рентген
Исследование включает в себя переход ионизирующих лучей через грудь и читается линейным CCD или полупроводниковым детектором.
Современные машины выполняют легкие и флюорографии на разных устройствах. Маммография и стоматологический рентген также выполняются на различных ветвях.
Результатом рентгеновского исследования записывается в формате DICOM, HL7. Дозы на цифровых единицах составляет 0,02-0,3 мЗв, в зависимости от
- Тип экзамена;
- органы;
- Вес тела.
Мы обратим внимание на специфику двух типов флюорографии: пленки и цифровой.

Фильм устройства
Первый вариант диагностики — это диагностика фильмов, которая в бюджете и применяется в государственных клиниках. Однако эта техника не очень надежная, и информация, около 20% изображений не дает однозначного результата. Кроме того, это исследование не рекомендуется, поскольку воздействие излучения в несколько раз превышает 0,1-0,3 мЗв.
Второй вариант является цифровой флюорографией, которая является наиболее предпочтительной методикой диагностики. Он получает четкое изображение и контролирует уже полученные настройки.
Стоит отметить, что тест RTG имеет большую точность, и является более вредным, чем флуорографический.
Компьютерная томография или КТ
Современный метод визуализации заболеваний и патологических состояний. Обычно используется, когда ультразвука или X-RT оказались менее информативными.
Даже рассматривая использование современного и дорогого оборудования, доза излучения во время комбинезонной томографии легких намного выше, чем во время стандартного рентгеновского исследования, которое связано с получением слоя изображений после слоя.

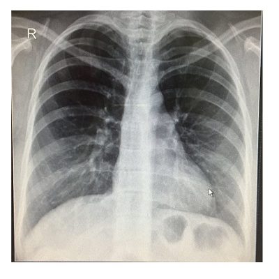
Что покажет расшифровка ФЛГ при пневмонии
Флюорография, показывающая пневмонию, насколько эффективным эта техника эффективна при определении заболевания? Действительно, фторграфия выявляет патологические изменения в структурах легких. Однако он не дает точного ответа, вызваны ли они раком, воспалением или инфекцией.
Следующие симптомы считаются рентгенологическими симптомами пневмонии:
- Фокусное воспаление на поверхности легочной ткани;
- Сегментированное утолщение;
- повышенная тяжесть сосудистых симптомов;
- Наличие экссудата в плевральной полости;
- Увеличенные грунтовые лимфатические узлы;
- Фиброзное изменение как следствие воспаления легких.

Как правило, флюорография показывает несколько признаков патологии, которые следует оценивать в целом, учитывая интенсивность и возможные причины развития.
В случае воспалительного фокуса обратите внимание на:
- Очаговый вес, их количество;
- место местоположения;
- Ясность или размытие контуров тела.
При наличии такого заболевания в виде пневмонии в картинках видно многочисленные уплотнения в нижних сегментах легких.
Опытный и квалифицированный врач сможет отличить массу от рака. Опухоли Atype характеризуются размытым ходом и асимметричными.
Если инфильтрация в легких находится за тенью сердца, доктор заказывает производительность рентгеновского фото в двух прогнозах.
Если сегментные инфильтраты впервые обнаружены, он часто указывает на воспаление мозга. Кроме того, наблюдается иная клиническая картина: симптомы интоксикации, одышка, сердечно-сосудистые нарушения.
При изменении легочного рисунка — увеличивается его интенсивность, говорить о наличии болезни нельзя. Такой симптом появляется при усилении кровоснабжения и развитии воспалительной реакции.

Что касается скопления слизи, то этот симптом не всегда является следствием пневмонии. В некоторых случаях этот симптом развивается на фоне нарушений водно-электролитного баланса. Следовательно, потребуется дополнительная серия диагностических мероприятий.
Флюорография показывает расширение бронхов, что свидетельствует о наличии отека. А если при этом происходит увеличение лимфатических узлов грудной клетки, можно говорить о пневмонии.
В каких случаях флюорографии недостаточно
Возможности флюорографии ограничены, диагност не сможет четко продемонстрировать уровень выделений или пломбы малого диаметра. Поэтому часто упускаются из виду незначительные патологические изменения:
- мелкоочаговая пневмония;
- экссудативный плеврит с небольшим количеством выделений;
- атипичная пневмония с отсроченной клинической картиной.

Экссудативный плеврит с полным экссудатом
О третьем типе воспаления стоит поговорить отдельно. Наиболее частым возбудителем заболевания является микоплазма, крошечный одноклеточный микроорганизм, и пневмоцистис, разновидность грибка из класса пневмоцистидомицетов.
Эти патологии не встречаются у здоровых людей, их развитие типично для пациентов с ослабленным иммунитетом, например, принимающих иммунодепрессанты, страдающих СПИДом. Они похожи на вирусную пневмонию — сухой кашель, одышка и боль в груди.
Флюорография при этих патологиях не информативна, так как покажет только увеличенное изображение легких.

Дополнительно необходимо провести лабораторные исследования. Анализы крови используются для подтверждения симптомов инфекции, сопровождающихся повышенным уровнем С-реактивного белка и скоростью оседания (оседание эритроцитов).
Результаты укажут на необходимость использования антибиотиков в терапии. Для выявления возбудителя рекомендуется микробиологический анализ крови.
Что делать, если пневмония или бронхит не видны на флюорографическом снимке? В этом случае уместно будет провести информативные диагностические методики.
Можно выбирать между рентгеном и компьютерной томографией, в некоторых случаях назначается МРТ. Другой вариант — провести флюорографию через некоторое время, когда симптомы патологии усугубятся. Затем сканирование покажет воспаление и образование небольших уплотнений, переходящих в большие.
Квалифицированный врач посоветует не ждать четких симптомов и назначит эффективные методы обследования — рентген или компьютерную томографию.
К сожалению, флюорография не всегда выявляет симптомы пневмонии, особенно на ранних стадиях ее развития. Двухмерное рентгеновское или томографическое исследование считается качественным методом исследования.
Компьютерная томография имеет наибольшую информативную ценность и способна обнаружить начало воспалительного процесса, но при компьютерной томографии лучевая нагрузка больше.
Флюорография при пневмонии остается важным методом выявления заболевания на более поздних стадиях развития. Рекомендуя обследование, врач руководствуется клиническими симптомами патологии и понимает, что в некоторых случаях целесообразно прибегать к современным диагностическим процедурам.