
Высокая восприимчивость детей к различным инфекционно-воспалительным процессам является следствием их слабого и неразвитого иммунитета. Одна из самых опасных патологий — бронхопневмония.
Заболевание коварное, ведь вовремя поставить диагноз сложно, так как воспаление находится в необычном месте — в корне легкого.
Как протекает патология, как распознать первые симптомы? Узнайте об этих и других функциях в этой статье.
Что это такое?
Радикальная пневмония — воспалительный процесс нижних дыхательных путей, отличающийся специфическим расположением очага заболевания. Из-за нетипичного расположения между легкими и бронхами эта патология входит в список самых опасных поражений. Инфекция вызывает воспаление альвеолярной и интерстициальной ткани (расположенной в воротах легкого).
В начальной стадии развития бронхиальной пневмонии нет характерной симптоматики: дыхание остается прежним, шумов и повышения температуры нет.
Выделение патологии в отдельную группу оправдано тем, что она имеет специфические диагностические, клинические и прогностические свойства. Этот тип пневмонии сложно визуализировать на рентгеновских снимках, потому что локализация похожа на корень легкого.
Обнаружение заболевания в запущенной форме может вызвать осложнения — это абсцесс и пневмоторакс (скопление гноя в плевре). Клиническая картина бронхопневмонии у детей характеризуется хроническим течением с чередованием периодов обострения и ремиссии.

Далее периостит подразделяется на несколько типов:
- Правая рука. Чаще всего развивается у маленьких детей.
- Левая сторона. Наблюдается у детей с недостаточной дренажной функцией (возникает гиперемия).
- Опухолевый. Бронхи сдавливаются у корня и доли легких разрушаются (ателектаз). Из-за таких нарушений возникает дыхательная недостаточность. Заболевание протекает более спокойно, без жара и кашля. Хорошо подходит для терапии.
- Воспаление. Состояние ребенка тяжелое, симптомы очень выражены. Трудно лечить.
На развитие заболевания у детей раннего возраста влияют нарушения развития плода, врожденные пороки сердца (которые подразумевают нарушения кровотока), сезонные эпидемии ОРЗ, хронические заболевания (рахит), плохой рост и задержка физического развития. развитие, частые переохлаждения. Если ребенок пассивный курильщик, это тоже провоцирует развитие пневмонии.
Первые признаки и симптомы
Симптомы патологии в начальной стадии легко спутать с ОРЗ. Пневмония вызывает сухой кашель и насморк, сонливость и снижение аппетита. Температура тела повышается незначительно или остается нормальной, первоначально на уровне 37,5 ° C. По мере прогрессирования болезни появляются следующие симптомы:
- высокая температура, которую невозможно снизить с помощью лекарств (более 39 ° C);
- вы слышите специфические хрипы;
- выраженные симптомы интоксикации: обезвоживание, головная боль, увеличение лимфатических узлов;
- детская потливость;
- интенсивность кашля увеличивается.
Особенности у детей от 1 года

У детей с 1 года корневая пневмония имеет волновое течение: ремиссии чередуются с обострениями.
Продолжительный и медленный процесс ослабляет защитные силы иммунной системы.
Во время обострения ребенку не хватает воздуха, он чувствует боли в груди. Еще один характерный симптом — цианоз (посинение), которое появляется на коже и слизистых оболочках.
Если у вашего ребенка 3 или более общих симптома, немедленно обратитесь к врачу.
Выраженность у грудничков до 1 года
Заметить патологию на ранней стадии можно только при ежедневном комплексном обследовании ребенка. Симптомы пневмонии включают:
- пониженный аппетит (малыш кричит о груди, но вялый);
- Помутнение кожи вокруг носогубного треугольника (хорошо видно во время кормления)
- учащенное дыхание (при вдохе кожа между ребрами отступает).
Также нормальное поведение у младенцев может измениться: отот пассивного и апатичного до чрезмерно возбудимого.
Диагностика
Выявление патологии у ребенка — сложный процесс, потому что малыши не могут четко сформулировать свои ощущения и указать места боли. Педиатр или пульмонолог ставит диагноз и назначает лечение.
Наличие пневмонии в организме ребенка можно подтвердить только после рентгенологического исследования и проведения лабораторных исследований. Если диагностирована колющая пневмония, необходим дифференциальный диагноз, чтобы отличить эту патологию от туберкулеза и онкологии бронхов.
Как диагностируется пневмония у детей? Выполняются следующие тесты:
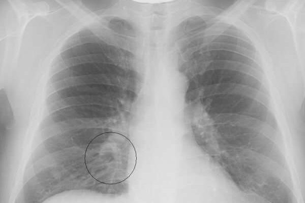
- Рентген. На фото виден затемненный участок.
- Визуальный осмотр у врача.
- Аускультация — Выслушивание звуков дыхания, шепота.
- Общий анализ крови и мочи. Анализ газового состава крови.
- Микроскопическое исследование мокроты. Бронхоскопия.
Лечение

Детей до 1 года обязательно госпитализируют для лечения подострой пневмонии.
Патология не заразна, а коварна по развитию опасных последствий. Поэтому курс лечения выбирается сразу после постановки диагноза.
Общие принципы терапии — комплексность, устранение причины и купирование симптомов.
Препараты назначают в зависимости от возраста и веса ребенка:
- антибиотики широкого спектра действия;
- противовирусное или противогрибковое;
- Жаропонижающие (от лихорадки);
- витамины;
- бронходилататоры.
Дополнительной мерой терапии является поддержание водного баланса и отказ от тяжелой пищи. Для устранения проблем с дыханием назначают небулайзер на травах. При улучшении состояния ребенка показана физиотерапия (УВЧ, массаж, согревание, обертывания). При сердечной слабости назначают сердечные гликозиды.

Прогноз благоприятный при своевременном и правильном лечении. Дети, перенесшие пневмонию, проходят регулярные осмотры в больнице (это сводит к минимуму рецидивы). После выздоровления родителям важно укрепить защитные силы ребенка и улучшить дыхательную функцию. Физиотерапия и санаторно-курортное лечение рекомендованы детям любого возраста в период выздоровления после болезней.
Особенности при правосторонней форме
Эта форма обычно возникает как вторичная пневмония на фоне плохо леченных острых респираторных инфекций.
Основой терапии правосторонней бронхопневмонии является прием антибактериальных препаратов и другие меры:

- Антибиотики. Цефалоспорины второго-третьего поколения, сульбактомакс. При обострении их вводят внутримышечно, а затем внутривенно.
- Инфузионная терапия. Растворы глюкозы (5%) и гидрохлорида натрия (0,9%) вводятся через внутривенный катетер. Цель — вывести токсины, остановить синдром гипертермии.
- Прием отхаркивающих средств.
- Обязательный прием пробиотиков для поддержания микрофлоры кишечника: специальные йогурты или продукты с лакто- и бифидобактериями.
- Сиропы на основе парацетамола или ибупрофена используются для снижения температуры. При отсутствии эффекта целесообразно вводить литическую смесь (растворы анальгина, папаверина и димедрола в одном шприце).
Во время лечения важно измерять уровень кислорода в крови. Если состояние ухудшается и уровень падает ниже 95%, ребенок должен получать кислород через маску. Если эффекта нет (если дыхательная недостаточность продолжается), необходима интубация и перевод на искусственную вентиляцию легких. Это предотвратит апноэ.
Справочные материалы (скачать)
Щелкните соответствующий документ, чтобы загрузить его:
| # | файл | Размер файла |
|---|---|---|
| 1 |
История болезни. Правосторонняя очаговая пневмония нижней доли. ДН — II степень. острый бронхит |
143 КБ |
| 2 |
История болезни на сегодняшний день. Тяжелая, острая внебольничная правосторонняя пневмония нижних долей |
170 КБ |
| 3 |
Методологическая разработка. Пневмония у детей раннего возраста 2016 |
605 КБ |
| 4 |
Клинические рекомендации. Внебольничная пневмония у детей |
1 МБ |
| 5 |
Вакцинопрофилактика пневмококковых инфекцийу детей.Клинические рекомендации |
649 КБ |
| 6 |
Рациональная антимикробная фармакотерапия |
4 МБ |
| 7 |
Дифференциальная рентгенодиагностика заболеваний органов дыхания и средостения t1 1991 г. |
7 МБ |
| 8 |
Использование отхаркивающих средств |
32 КБ |
Заключение
В заключение, корешковая пневмония представляет особый риск для здоровья ребенка из-за сходства симптомов с острыми респираторными инфекциями и сложности последующего диагностического процесса.Если диагноз подтвержден, лечение является немедленным и комплексным.В период выздоровления следует проводить профилактические мероприятия.Качественное лечение ОРЗ, сбалансированное питание, закаливание организма, повышение иммунитета помогут предотвратить возможное рецидивирование болезни.

