Архивы за месяц Февраль, 2025

Инструкция по применению Сульфасалазина, его аналоги и стоимость

Сульфасалазына является рецептом препарата, который находится в списке наиболее важных лекарств в системе здравоохранения. Форма выпуска и состав Состав: Активное вещество является сульфасалазына — 535 мг, покрытая покрытыми К-30. Наполнители: стеарат магния кукурузный крахмал безводный коллоидный оксид кремния Компоненты пленочного покрытия: пропиленгликоль гипромелоза Пигмент — желтый оксид железа E 172 Фармакологическое действие Препарат с противовоспалительным …

Овуляторный синдром: как распознать по симптомам и стоит ли лечить?

Синдром овуляции обычно называют симптомокомплексом, возникающим после овуляции. В отличие от ПМС, первый возникает в середине менструального цикла. Синдром овуляции и беременность — есть ли между ними связь? Возможные причины возникновения Овуляция — это выход из фолликула зрелой яйцеклетки. Он захватывается ворсинками в воронке маточной трубы и под действием перистальтики (сокращений) маточной трубы и колебаний …

Чем защитить себя от беременности: лучшие контрацептивы для женщин

Беременность и роды — дело ответственное и сложное, поэтому неудивительно, что многие девушки, особенно молодые, не хотят забеременеть. Однако проблема нежелательных зачатий касается семей, в которых уже есть ребенок, а муж и жена не хотят или не могут иметь другого. Для решения этой проблемы противозачаточные средства для женщин в первую очередь, ведь именно девушка должна …

Особенности терапии геморроя аптечными травяными сборами

Из этой статьи вы узнаете об эффективных препаратах от геморроя, которые уже готовы к употреблению и доступны в аптеке. Польза трав в лечении геморроя Лекарственные растения содержат множество полезных веществ, которые помогают облегчить неприятные симптомы и предотвратить осложнения. Правильно подобранные экстракты трав от геморроя помогают снимает симптомы воспаления; Устранить отечность геморроидальных узлов; Купирование болезненных ощущений, …

Лапароскопия в гинекологии – малотравматичный метод проведения диагностики и операции

Лапароскопия — это малоинвазивная операция без послойного разреза передней брюшной стенки, которая проводится с использованием специального оптического (эндоскопического) оборудования для исследования органов брюшной полости. Его внедрение в практику значительно расширило возможности хирургов общего профиля, врачей гинекологического и урологического профиля. Накопленный к настоящему времени обширный опыт показал, что реабилитация после лапароскопии, по сравнению с традиционным лапаротомическим …

Лактоцеле – «подводный камень» грудного вскармливания

В период кормления грудью у кормящей матери может развиться лактастаз, лактационный мастит, растрескивание сосков и кандидоз. Эти заболевания чаще всего возникают в результате неправильного питания или несоблюдения правил гигиены. Однако иногда встречается редкая патология — лактоцеле. Как отличить его от других патологий периода грудного вскармливания и что делать при его обнаружении? Особенности молочной железы Молочная …

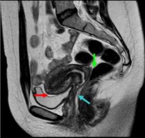
Эндометриоз на МРТ: как проходит обследование, что выявляет

Эндометриоз — распространенное заболевание у женщин детородного возраста. В диагностике используются лабораторные и инструментальные методы. Магнитно-резонансная томография при эндометриозе позволяет точно определить степень продвижения и площадь поражения. Описание и симптомы заболевания Эндометриоз — это доброкачественное разрастание ткани во внутреннем слое стенок матки. Изменения появляются в тканях яичников, маточных труб. Опасность заболевания заключается в следующем: разросшиеся …

Особенности течения второго периода родов и его окончание

Роды — это естественный запрограммированный процесс, который следует определенным этапам. Вскрытие матки переходит в следующий этап. Вторая фаза родов начинается с появления давления — непреодолимого желания толкнуть. Это изгнание плода, один из самых решающих моментов. Здоровье матери и целостность родовых путей зависят от правильного поведения матери и ее акушерки. Особенности потужного периода Расширение матки — …

Особенности геморроя 1 стадии (степени): причины, симптомы патологии, особенности лечения

В этой статье вы узнаете о первой стадии геморроя, о том, как начинает формироваться геморрой, каковы симптомы, лечение и профилактика геморроидальной болезни. Внутренний геморрой 1 стадии, переходящий во 2 стадию. Механизм формирования узлов геморроя Прямая кишка и задний проход обильно иннервируются и кровоснабжаются. В подслизистой оболочке прямой кишки находится сеть тесно связанных между собой вен …

Отслойка плаценты на ранних и поздних сроках беременности: чем грозит, причины, факторы риска

Проблема снижения материнской смертности, мертворождений и младенческой смертности сразу после родов во многом связана с профилактикой и лечением такой патологии, как преждевременная отслойка нормально расположенной плаценты (ПОНРП), которая встречается у 0,5% -1,5% всех беременных. Это может произойти как на ранних, так и на поздних сроках беременности (почти 57%) и во время родов, когда шейка матки …